Skip to main page content
U.S. flag

An official website of the United States government

Dot gov

The .gov means it’s official.
Federal government websites often end in .gov or .mil. Before sharing sensitive information, make sure you’re on a federal government site.

Https

The site is secure.
The https:// ensures that you are connecting to the official website and that any information you provide is encrypted and transmitted securely.

Access keys NCBI Homepage MyNCBI Homepage Main Content Main Navigation
Case Reports
. 2022 Jun 9;15(6):e250152.
doi: 10.1136/bcr-2022-250152.

Acute inhalation lung injury secondary to zinc and copper aspiration from food contact dust

Affiliations
Case Reports

Acute inhalation lung injury secondary to zinc and copper aspiration from food contact dust

James Moss et al. BMJ Case Rep. .

Abstract

A previously healthy boy of preschool age was brought to the emergency department by ambulance with respiratory distress following the accidental inhalation of food contact dust (cake decorating powder). Prehospital oxygen saturations were 80% in room air. Initial treatment was with oxygen, nebulised salbutamol, oral dexamethasone and intravenous amoxicillin/clavulanic acid. Treatment was escalated to nasal high flow oxygen therapy and high dependency care within 8 hours. Lung fields on his initial chest X-ray were clear but the following day showed perihilar infiltrates extending into the lower zones in keeping with inflammation. He was treated with intravenous methylprednisolone, followed by a weaning dose of oral prednisolone over 14 days.He required oxygen therapy for 9 days and remained in hospital for 11 days. Outpatient follow-up, 24 days after the inhalation took place was reassuring with the child showing no signs of abnormal respiratory symptoms.

Keywords: Emergency medicine; Paediatrics; Respiratory medicine; Unwanted effects / adverse reactions.

PubMed Disclaimer

Conflict of interest statement

Competing interests: None declared.

Figures

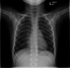
Figure 1
Figure 1
(A) Chest X-ray at presentation, showing the radiopaque food contact dust in the stomach (B) X-ray of food contact dust in original container (C) X-ray of radiopaque food contact dust on its own similar to what is seen in the patient’s stomach. AP, anteroposterior.
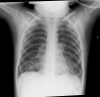
Figure 2
Figure 2
Chest X-ray taken less than 24 hours later, showing bilateral perihilar infiltrates extending into the lower zones.
Figure 3
Figure 3
Chest X-ray taken 2 months after the inhalation took place showing some residual subsegmental atelectasis in the right middle lobe. AP, anteroposterior.

References

    1. Talcum powder monograph. Available: https://www.toxbase.org/ [Accessed 04 Dec 2021].
    1. Datau EA, Wardhana . Metal fume fever among galvanized welders. Acta Med Indones 2014;46:256–62. - PubMed
    1. Kaye P, Young H, O'Sullivan I. Metal fume fever: a case report and review of the literature. Emerg Med J 2002;19:268–9. 10.1136/emj.19.3.268 - DOI - PMC - PubMed
    1. Donoso A, Cruces P, Camacho J, et al. . Acute respiratory distress syndrome resulting from inhalation of powdered copper. Clin Toxicol 2007;45:714–6. 10.1080/15563650701438912 - DOI - PubMed
    1. Moromisato DY, Anas NG, Goodman G. Mercury inhalation poisoning and acute lung injury in a child. Use of high-frequency oscillatory ventilation. Chest 1994;105:613–5. 10.1378/chest.105.2.613 - DOI - PubMed

Publication types