Skip to main page content
U.S. flag

An official website of the United States government

Dot gov

The .gov means it’s official.
Federal government websites often end in .gov or .mil. Before sharing sensitive information, make sure you’re on a federal government site.

Https

The site is secure.
The https:// ensures that you are connecting to the official website and that any information you provide is encrypted and transmitted securely.

Access keys NCBI Homepage MyNCBI Homepage Main Content Main Navigation
Case Reports
. 2022 May 10;14(5):e24870.
doi: 10.7759/cureus.24870. eCollection 2022 May.

Juvenile Alexander Disease: A Rare Leukodystrophy

Affiliations
Case Reports

Juvenile Alexander Disease: A Rare Leukodystrophy

Rizwan Ullah et al. Cureus. .

Abstract

Alexander disease is an uncommon autosomal dominant leukodystrophy that influences the white matter of the central nervous system (CNS), predominantly affecting the frontal lobe bilaterally. The most obvious pathogenic hallmark is the extensive deposition of cytoplasmic inclusions known as "Rosenthal fibers" in perivascular, subpial, and subependymal astrocytes throughout the CNS. The hereditary cause is mutations in the glial fibrillary acidic protein (GFAP) gene. Infantile, adult, and juvenile onsets are the three subtypes. Psychomotor retardation, mile-stone regression, spastic paresis, brain stem symptoms (swallowing, speech, etc.), and seizures define the juvenile variety, which emerges between the ages of three and 10 years. Macrocephaly has a lower likelihood of being a juvenile type. It is generally diagnosed based on clinical and magnetic resonance imaging findings. A five-year-old girl is presented as a case of juvenile Alexander disease, with typical clinical and MRI features.

Keywords: alexander; disease; juvenile; leukodystrophy; rare.

PubMed Disclaimer

Conflict of interest statement

The authors have declared that no competing interests exist.

Figures

Figure 1
Figure 1. Abnormal EEG shows neurodegenerative changes.
Figure 2
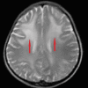
Figure 2. T2W image shows diffuse symmetrical, bilateral hyperintensities with a preponderance of frontal lobes (red arrows).
T2W image: T2-weighted image
Figure 3
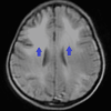
Figure 3. FLAIR image shows diffuse symmetrical, bilateral hyperintensities with preponderance of frontal lobes (blue arrows).
FLAIR: fluid-attenuated inversion recovery
Figure 4
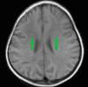
Figure 4. T1W image shows diffuse symmetrical, bilateral hypointensities with preponderance of frontal lobes (green arrows).
T1W image: T1-weighted image

References

    1. Late onset Alexander's disease presenting as cerebellar ataxia associated with a novel mutation in the GFAP gene. Schmidt S, Wattjes MP, Gerding WM, van der Knaap M. J Neurol. 2011;258:938–940. - PubMed
    1. Magnetic resonance imaging findings in Alexander disease. Matarese CA, Renaud DL. Pediatr Neurol. 2008;38:373–374. - PubMed
    1. Srivastava S, Waldman A, Naidu S. GeneReviews [Internet] Seattle, WA: University of Washington; 2020. Alexander disease. - PubMed
    1. Diffuse Rosenthal fiber formation in the adult: a report of four cases. Mastri AR, Sung JH. J Neuropathol Exp Neurol. 1973;32:424–436. - PubMed
    1. Hereditary adult-onset Alexander's disease with palatal myoclonus, spastic paraparesis, and cerebellar ataxia. Schwankhaus JD, Parisi JE, Gulledge WR, Chin L, Currier RD. Neurology. 1995;45:2266–2271. - PubMed

Publication types

LinkOut - more resources