Skip to main page content
U.S. flag

An official website of the United States government

Dot gov

The .gov means it’s official.
Federal government websites often end in .gov or .mil. Before sharing sensitive information, make sure you’re on a federal government site.

Https

The site is secure.
The https:// ensures that you are connecting to the official website and that any information you provide is encrypted and transmitted securely.

Access keys NCBI Homepage MyNCBI Homepage Main Content Main Navigation
Case Reports
. 2022 May 13;14(5):e24976.
doi: 10.7759/cureus.24976. eCollection 2022 May.

Remarkable Response of Hairy Cell Leukemia Variant to Single-Agent Cladribine

Affiliations
Case Reports

Remarkable Response of Hairy Cell Leukemia Variant to Single-Agent Cladribine

Steve B Otieno et al. Cureus. .

Abstract

Classical hairy cell leukemia (cHCL) and related mature lymphoid B-cell neoplasms including hairy cell leukemia variant (HCLv) and splenic diffuse red pulp lymphoma (SDRPL) are a rare subset of lymphoid neoplasms. cHCL accounts for around 2% of all leukemias and is characterized by a peripheral smear with large lymphoid cells with cytoplasmic projections giving the cells a hairy appearance, splenomegaly, and cytopenias. Majority of cHCL cases harbor a BRAFV600E mutation. cHCL usually responds well to single-agent purine analogs. HCLv is even rarer and constitutes around 0.4% of lymphoid malignancies. Unlike cHCL, HCLv is less responsive to standard single-agent purine analogs and typically does not harbor the BRAFV600E mutation. The "hairy cells," splenomegaly, and cytopenias are common in both. We report a case of a patient with HCLv who was treated with a single purine analog and achieved a near-complete response.

Keywords: brafv600e; cytopenias; hairy cell leukemia variant; purine analog; splenomegaly.

PubMed Disclaimer

Conflict of interest statement

The authors have declared that no competing interests exist.

Figures

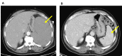
Figure 1
Figure 1. Resolution of splenomegaly with treatment.
Spleen marked by yellow arrows. (A) Before treatment. (B) Five months after treatment.
Figure 2
Figure 2. Hairy cell leukemia variant cell on peripheral smear characterized by atypical lymphocytes with cytoplasmic projections

References

    1. A chronic lymphoproliferative disorder with distinctive features: a distinct variant of hairy-cell leukaemia. Cawley JC, Burns GF, Hayhoe FG. Leukemia Res. 1980;4:547–559. - PubMed
    1. Long-term follow-up and second malignancies in 487 patients with hairy cell leukaemia. Cornet E, Tomowiak C, Tanguy-Schmidt A, et al. Br J Haematol. 2014;166:390–400. - PubMed
    1. The natural history and clinico-pathological features of the variant form of hairy cell leukemia. Matutes E, Wotherspoon A, Brito-Babapulle V, Catovsky D. Leukemia. 2001;15:184–186. - PubMed
    1. Cladribine with immediate rituximab for the treatment of patients with variant hairy cell leukemia. Kreitman RJ, Wilson W, Calvo KR, et al. Clin Cancer Res. 2013;19:6873–6881. - PMC - PubMed
    1. Hairy cell leukemia: 2020 update on diagnosis, risk stratification, and treatment. Maitre E, Cornet E, Troussard X. Am J Hematol. 2019;94:1413–1422. - PubMed

Publication types

LinkOut - more resources