Infected Urachal Cyst Masquerading as Acute Appendicitis on Point-of-care Ultrasound
- PMID: 35701355
- PMCID: PMC9197745
- DOI: 10.5811/cpcem.2022.1.55243
Infected Urachal Cyst Masquerading as Acute Appendicitis on Point-of-care Ultrasound
Abstract
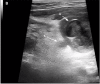
Case presentation: A seven-year-old male presented to the pediatric emergency department with one day of abdominal pain. His physical exam was significant for rebound, guarding, and tenderness in the right lower quadrant, and his labs demonstrated a leukocytosis. Both a point-of-care ultrasound and radiology-performed ultrasound were concerning for acute appendicitis with a periappendiceal abscess, but on emergent laparoscopy the patient was found to have an infected urachal cyst.
Discussion: Infected urachal remnants are a rare but important cause of pediatric abdominal pain. In this case, inflammation surrounding the patient's midline urachal cyst triggered a serositis that involved the appendix and pulled the cyst to the right. This created a clinical and radiologic presentation similar to appendicitis. This atypical presentation of an already rare anomaly highlights the importance of maintaining a broad differential during the work-up of pediatric abdominal pain.
Conflict of interest statement
Figures


References
-
- Allen JW, Song J, Velcek FT. Acute presentation of infected urachal cysts: case report and review of diagnosis and therapeutic interventions. Pediatr Emerg Care. 2004;20(2) - PubMed
-
- Fred Avni E, Matos C, Diard F, et al. Midline omphalovesical anomalies in children: contribution of ultrasound imaging. Urol Radiol. 1988;10(1) - PubMed
-
- Austin S, Jersey C, Soltis M, et al. Identification of an infected urachal cyst using point-of-care ultrasound. Pediatr Emerg Care. 2021;37(6) - PubMed
-
- Robert Y, Hennequin-Delerue C, Chaillet D, et al. Urachal remnants: sonographic assessment. J Clin Ultrasound. 1996;24(7) - PubMed