Ramal Growth Assessment in Temporo-Mandibular Joint Ankylosis in Growing Patient Without Growth Centre Transplantation: Radiograph Based Study
- PMID: 35712407
- PMCID: PMC9192851
- DOI: 10.1007/s12663-020-01418-8
Ramal Growth Assessment in Temporo-Mandibular Joint Ankylosis in Growing Patient Without Growth Centre Transplantation: Radiograph Based Study
Abstract
Introduction: The treatment of temporomandibular joint is mainly surgical and aims at restoring the function of joint and correcting the aesthetics deformity caused by ankylosis. Studies are available in the literature which showed that there is osteogenic potential in condylar stump remaining after gap arthroplasty, especially in children. Our objective was to assess the growth of ramus operated after surgery using orthopantomogram as the tool of assessment.
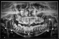
Materials and method: Fifteen patients of prospective study design were selected for study. This study was undertaken to evaluate the mandibular ramal growth in TMJ ankylosis patients treated without growth center transplantation using orthopantomogram as a tool of assessment.
Results: Mean ramal length of the operated right side was found to be 42.02 mm in immediate postoperative, 43.18 mm in sixth month postoperative and 44.57 mm in 1 year postoperative follow-up. Mean ramal length of the operated left side was found to be 40.15 mm in immediate postoperative, 42.10 mm in sixth month postoperative and 44.80 mm in 1 year postoperative follow-up.
Conclusion: Our investigations showed that mandibular growth rate increases after successful treatment of ankylosis in children. One drawback of this treatment protocol that we observed was that the total growth deficit manifested in all our patients could not be made up.
Keywords: Ankylosis; Fracture; Growth centre; Mandible; Ramus; Temporomandibular joint.
© The Association of Oral and Maxillofacial Surgeons of India 2020.
Conflict of interest statement
Conflict of interestThe authors declare that they have no conflict of interest.
Figures








References
-
- Ware WH, Taylor RC. Cartilaginous growth centers transplanted to replace mandibular condyles in monkeys. J Oral Surg. 1966;24(1):33. - PubMed
-
- Glahn M, Winther JE. Metatarsal transplants as replacement for lost mandibular condyle (3 years’ follow up) Scand J Plast Reconstr Surg. 1967;1:97. - PubMed
-
- Skuble DF, Choukas NC, Toto PD. Craniomandibular bone changes in rhesus monkeys induced by condylectomy. J Oral Surg. 1970;28:273. - PubMed
LinkOut - more resources
Full Text Sources
Miscellaneous