Case Report: A Novel Lateral Approach to the C7, C8, and T1 Intervertebral Foramina for Resection of Malignant Peripheral Nerve Sheath Neoplasia, Followed by Adjunctive Radiotherapy, in Three Dogs
- PMID: 35720837
- PMCID: PMC9204227
- DOI: 10.3389/fvets.2022.869082
Case Report: A Novel Lateral Approach to the C7, C8, and T1 Intervertebral Foramina for Resection of Malignant Peripheral Nerve Sheath Neoplasia, Followed by Adjunctive Radiotherapy, in Three Dogs
Abstract
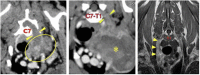
This case report describes the diagnosis, management and outcome of three dogs with peripheral nerve sheath tumors (PNSTs) involving the brachial plexus, C7 (case 1), C8 (case 2), and C8 and T1 (case 3) spinal nerves and nerve roots with intrathoracic invasion. Surgical resection required thoracic limb amputation and removal of the first rib, facilitating a novel lateral approach to the spinal nerves and foramina in all cases. This was followed by hemilaminectomy and rhizotomy in cases 1 and 2. Adjunctive radiotherapy was then performed in all dogs. All three dogs regained a good quality of life in the short-term following surgery. Two were euthanased after 3 and 10 months, following detection of a pulmonary mass in one case and multiple thoracic and abdominal masses in the other. The third dog was alive and well at the time of writing (7 months post-surgery). This surgical approach facilitated good access and allowed gross neoplastic tissue to be resected. The ease of surgical access was dependent, to a degree, on the size of the patient. This surgical approach can be considered in cases of PNSTs involving the caudal cervical or cranial thoracic spinal nerves and nerve roots. Adjunctive radiotherapy should be considered as part of a multi-modal approach to these challenging tumors due to the difficulty of achieving clean margins, particularly proximally, even with optimal surgical access.
Keywords: brachial plexus; dog; peripheral nerve sheath tumor; radiotherapy; surgery.
Copyright © 2022 Marsh, Shimizu, Mason and Uriarte.
Conflict of interest statement
All authors were employed by company Linnaeus Veterinary Limited. The handling Editor declared a past co-authorship and past collaboration with one of the authors, OM.
Figures



References
-
- DeLahunta A, Glass E, Kent M. Veterinary Neuroanatomy and Clinical Neurology. 5th edition. Philadelphia, PA: Elsevier; (2021).
-
- Vandevelde M, Higgins R, Oevermann A. Veterinary Neuropathology: Essentials of Theory and Practice. Chichester: Wiley-Blackwell; (2012).
Publication types
LinkOut - more resources
Full Text Sources
Miscellaneous