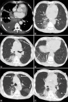
Pembrolizumab-related pneumonitis in a patient with COVID-19 infection
- PMID: 35739097
- PMCID: PMC10395808
- DOI: 10.11622/smedj.2022083
Pembrolizumab-related pneumonitis in a patient with COVID-19 infection
Conflict of interest statement
None
Figures


References
-
- Zhou S, Wang Y, Zhu T, Xia L. CT features of coronavirus disease 2019 (COVID-19) pneumonia in 62 patients in Wuhan, China. AJR Am J Roentgenol. 2020;214:1287–94. - PubMed