Neurogenic Appendicitis: A Reappraisal of the Clinicopathological Features and Pathogenesis
- PMID: 35741196
- PMCID: PMC9222018
- DOI: 10.3390/diagnostics12061386
Neurogenic Appendicitis: A Reappraisal of the Clinicopathological Features and Pathogenesis
Abstract
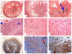
In 1921; Masson and Maresch first coined the term "neurogenic appendicitis (NA)" to describe "neuroma-like" lesions in the appendix. To date, our knowledge about NA is limited; therefore, we conducted a comprehensive analysis of the literature (1921 to 2020) to examine the clinicopathological features of NA. We also addressed the pathophysiology of acute abdominal pain and fibrosis in this entity. We performed a meta-analysis study by searching the PubMed database, using several keywords, such as: "appendix," "neurogenic," "obliterative," "neuroma," "fibrous obliteration," "appendicopathy," and "appendicitis." Our study revealed that patients with NA usually present clinically with features of acute appendicitis, bud2t they have grossly unremarkable appendices. Histologically, the central appendiceal neuroma was the most common histological variant of NA, followed by the submucosal and intramucosal variants. To conclude, NA represents a form of neuroinflammation. The possibility of NA should be considered in patients with clinical features of acute appendicitis who intraoperatively show a grossly unremarkable appendix. Neuroinflammation and neuropeptides play roles in the development of pain and fibrosis in NA.
Keywords: appendix; neurogenic; neuroinflammation.
Conflict of interest statement
The authors declare no conflict of interest.
Figures




References
-
- Buschard K., Kjaeldgaard A. Investigation and analysis of the position, fixation, length and embryology of the vermiform appendix. Acta Chir. Scand. 1973;139:293–298. - PubMed
Publication types
LinkOut - more resources
Full Text Sources