Fetal Atrial Septal Aneurysm: Follow-Up from Second to Third Trimester
- PMID: 35741279
- PMCID: PMC9221716
- DOI: 10.3390/diagnostics12061469
Fetal Atrial Septal Aneurysm: Follow-Up from Second to Third Trimester
Abstract
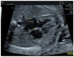
Atrial septal aneurysm (ASA) is a rarely reported fetal finding. Its definition is variable, but the diagnosis is usually made when the foramen ovale flap extends at least halfway across the left atrium. It is considered a transient, self-limiting condition, but on occasion, it can be complicated by fetal arrhythmia or left ventricular (LV) inflow obstruction-if longstanding, this can lead to left heart hypoplasia. We present two cases of ASA diagnosed at the second trimester scan, one of which was subsequently complicated by LV inflow obstruction and prenatal suspicion of hypoplastic aortic arch. This report is a good illustration of how structure follows function: a small LV preload can lead to a decreased LV output, which in turn will end up in a hypoplastic LV and outflow tract-all this is reversible after birth, due to the physiological circulatory modifications that occur in the newborn.
Keywords: atrial septal aneurysm; fetal echocardiography; prenatal screening.
Conflict of interest statement
The authors declare no conflict of interest.
Figures



References
-
- Pinette M.G., Pan Y., Pinette S.G., Blackstone J., Stubblefield P.G. Fetal atrial septal aneurysm. Prenatal diagnosis by ultrasonography. J. Reprod. Med. 1997;42:459–462. - PubMed
LinkOut - more resources
Full Text Sources