Skip to main page content
U.S. flag

An official website of the United States government

Dot gov

The .gov means it’s official.
Federal government websites often end in .gov or .mil. Before sharing sensitive information, make sure you’re on a federal government site.

Https

The site is secure.
The https:// ensures that you are connecting to the official website and that any information you provide is encrypted and transmitted securely.

Access keys NCBI Homepage MyNCBI Homepage Main Content Main Navigation
Case Reports
. 2022 May 19;14(5):e25150.
doi: 10.7759/cureus.25150. eCollection 2022 May.

A Case of Right Ventricular Thrombus in a Patient With Recent COVID-19 Infection

Affiliations
Case Reports

A Case of Right Ventricular Thrombus in a Patient With Recent COVID-19 Infection

Andreas Mitsis et al. Cureus. .

Abstract

Coronavirus disease 2019 (COVID-19) is a viral respiratory disease caused by severe acute respiratory syndrome coronavirus 2 (SARS-CoV-2). The respiratory system is the main target of the virus; however, apart from lung disease, a relatively large proportion of patients develop thrombosis as well. We present the case of a 19-year-old male who was admitted after contracting community-acquired right-sided pneumonia. The patient had a history of COVID-19 infection four weeks before admission. The echocardiographic assessment revealed a 16 x 6-mm right ventricular (RV) thrombus. He underwent a cardiovascular magnetic resonance (CMR) study, which confirmed the findings. After ruling out the most common causes of hypercoagulability, COVID-19 was judged to be the cause of the thrombus. The patient was treated with warfarin. Follow-up imaging with echocardiography and CMR six months later revealed complete resolution of the thrombus. Hypercoagulability is a major complication of COVID-19 and in situ thrombosis can occur both in the arterial and venous circulation. The recognition of intracardiac thrombi even in low-risk patients with a history of COVID-19 infection and the immediate initiation of antithrombotic treatment to minimize the risk of embolization is of paramount importance. Advanced imaging techniques are often required to establish the diagnosis of this condition.

Keywords: cardiac magnetic resonance (cmr); coronavirus disease 2019 (covid-19); intracardiac thrombosis; right ventricular thrombus; ventricular thrombosis.

PubMed Disclaimer

Conflict of interest statement

The authors have declared that no competing interests exist.

Figures

Figure 1
Figure 1. CT lung
CT lung showing right-sided pneumonia and right-sided pleural effusion CT: computed tomography
Figure 2
Figure 2. Transthoracic echocardiogram in the acute phase and after six months
2A. Transthoracic echocardiogram in four-chamber view revealing an oval-shaped mass (blue arrow) in the apex of the right ventricle 2B. Follow-up transthoracic echocardiogram after six months of adequate anticoagulation showing complete resolution of the thrombus
Figure 3
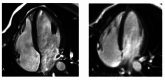
Figure 3. Cine balanced steady-state free precession (bSSFP) and late gadolinium enhancement (LGE) imaging
3A. Cine balanced steady-state free precession (bSSFP) imaging reveals a mass (white star) within the cavity of the right ventricle apex, with borders distinguishable from ventricular endothelium and trabeculation 3B: Late gadolinium enhancement (LGE) imaging shows no contrast uptake from the mass (white star), typical for an RV thrombus
Figure 4
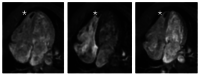
Figure 4. First-pass perfusion (FPP) imaging
First-pass perfusion (FPP) imaging during the acute phase reveals an intracavitary low signal mass with no contrast uptake (white stars), indicative of a thrombus
Figure 5
Figure 5. Cine balanced steady-state free precession (bSSFP) and late gadolinium enhancement (LGE) imaging after six months of follow-up
5A: Cine balanced steady-state free precession (bSSFP) imaging six months after anticoagulation treatment with no evidence of the RV thrombus 5B: Late gadolinium enhancement (LGE) imaging six months after anticoagulation treatment with full resolution of the RV thrombus

References

    1. Venous and arterial thromboembolic complications in COVID-19 patients admitted to an academic hospital in Milan, Italy. Lodigiani C, Iapichino G, Carenzo L, et al. Thromb Res. 2020;191:9–14. - PMC - PubMed
    1. Abnormal coagulation parameters are associated with poor prognosis in patients with novel coronavirus pneumonia. Tang N, Li D, Wang X, Sun Z. J Thromb Haemost. 2020;18:844–847. - PMC - PubMed
    1. Autopsy findings and venous thromboembolism in patients with COVID-19: a prospective cohort study. Wichmann D, Sperhake JP, Lütgehetmann M, et al. Ann Intern Med. 2020;173:268–277. - PMC - PubMed
    1. Pulmonary embolism in patients with COVID-19: awareness of an increased prevalence. Poissy J, Goutay J, Caplan M, et al. Circulation. 2020;142:184–186. - PubMed
    1. Right atrial thrombus in transient in a COVID-19 patient: clinical echocardiographic features-case report and literature review. Abool Maaly CA, Al Suwaidi J, Khatib MY, Alzaeem H. SN Compr Clin Med. 2020;8:1–3. - PMC - PubMed

Publication types

LinkOut - more resources