Acetabular paralabral cysts demonstrating perineural propagation
- PMID: 35762342
- PMCID: PMC10162045
- DOI: 10.1259/bjr.20211306
Acetabular paralabral cysts demonstrating perineural propagation
Abstract
Objective: Acetabular paralabral cysts are common and are almost always associated with labral tears. Uncommonly, they extend into the periacetabular soft tissues or may propagate along peripheral nerves causing pain and hip dysfunction. The aim was to evaluate the clinical and MRI presentations of such cases including perineural propagation.
Methods: Retrospective cross-sectional study with a search of electronic health records for cases of acetabular paralabral cysts demonstrating perineural propagation was performed. Clinical and MR imaging features were tabulated after re-review by experienced musculoskeletal radiologists, and available outcomes were recorded. Descriptive statistics were performed.
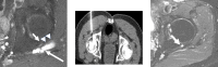
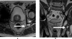
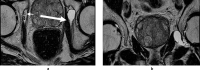
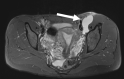
Results: 14 cases were recorded. The mean age was 56.9 years (range = 30-79 years) and female:male ratio was 1:2.6. The commonest presenting complaint was hip pain (10/14, 71.4%). Other complaints included groin pain, perineal pain and hip dysfunction. No symptoms were attributed to the acetabular paralabral cyst in 3/14 patients (21.4%). None had foot drop. The cysts were multilocular in all cases and were homogenously T2 hyperintense in 13/14 (92.9%). Labral tears were identified in 11/14 cases (78.6%). The sciatic nerve was most commonly involved in 5/14 cases (35.7%) with the obturator, medial femoral cutaneous nerve, femoral nerve, superior and inferior gluteal nerves also affected.No intervention was undertaken in 9/14 cases (64.3%). 5/14 (35.7%) underwent image guided aspiration and corticosteroid injection. 4/5 such patients reported reduced pain following the procedure.
Conclusion: Paralabral cysts demonstrating perineural propagation are uncommon and exhibit varied presentations. Most patients who underwent image-guided or surgical interventions reported an improvement in symptoms.
Advances in knowledge.: This is the first description of a series of patients with acetabular paralabral cysts demonstrating perineural propagation in the literature. A comprehensive description of their clinical and imaging characteristics and interventions/outcomes where relevant is provided.
Conflict of interest statement
Figures







Comment in
-
RE: Acetabular paralabral cysts and perineural propagation.Br J Radiol. 2023 Sep;96(1149):20221045. doi: 10.1259/bjr.20221045. Epub 2023 May 15. Br J Radiol. 2023. PMID: 37183867 Free PMC article. No abstract available.