Sclerosing Epithelioid Fibrosarcoma of the Thoracic Vertebrae: An Fairly Unusual Case Report With a Short Review of Literature
- PMID: 35836959
- PMCID: PMC9273825
- DOI: 10.3389/fmed.2022.833864
Sclerosing Epithelioid Fibrosarcoma of the Thoracic Vertebrae: An Fairly Unusual Case Report With a Short Review of Literature
Abstract
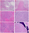
Sclerosing epithelioid fibrosarcoma (SEF) is a rare subtype of soft tissue tumors, and SEF originating from the side of the spine is even rarer. We report that a 28-year-old young woman suffered from chest pain and back pain for 3 years, and thereafter she went to see a doctor because her condition deteriorated. Enhanced CT showed that the right posterior upper chest wall mass invaded the adjacent bone, and the boundary between the lesion and the surrounding tissues was relatively clear. She then underwent posterior tumor removal surgery. The pathological examination confirmed the diagnosis of SEF. In histomorphology, the tumor displayed a typical epithelioid clear cell morphology, accompanied by extensive vitrification and fibrosis, which better helped to differentiate the tumor from low grade fibromyxoid sarcoma, solitary fibrous tumor and other entities. The immunohistochemical analysis showed a diffuse positive reaction to MUC4, a highly specific marker of SEF, which was detected by Immunohistochemistry (IHC), and fluorescence in-situ hybridization (FISH) confirmed that the EWSR1 gene was rearranged, while the FUS gene was not rearranged. This is the first time that we have encountered such this rare case and thus report this case with updated literature related to this tumor.
Keywords: EWSR1; fish; immunohistochemistry; sclerosing epithelioid fibrosarcoma; soft tissue sarcoma.
Copyright © 2022 Wei, Ma, Wu, Chen, Li, Chen and Zhou.
Conflict of interest statement
The authors declare that the research was conducted in the absence of any commercial or financial relationships that could be construed as a potential conflict of interest.
Figures




References
Publication types
LinkOut - more resources
Full Text Sources