Large colonic lipoma as a lead point for intussusception in an adult
- PMID: 35854819
- PMCID: PMC9291366
- DOI: 10.1093/jscr/rjac327
Large colonic lipoma as a lead point for intussusception in an adult
Erratum in
-
Correction to: Large colonic lipoma as a lead point for intussusception in an adult.J Surg Case Rep. 2022 Nov 11;2022(11):rjac506. doi: 10.1093/jscr/rjac506. eCollection 2022 Nov. J Surg Case Rep. 2022. PMID: 36381982 Free PMC article.
Abstract
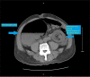
Intussusception is the telescoping of proximal loop of the bowel within distal loop resulting in obliteration of the lumen. Although it frequently occurs with the most common cause of intestinal obstruction in children, it is a rare phenomenon and an uncommon cause of acute intestinal obstruction in adults. Unlike pediatric intussusception, where the cause is idiopathic, adult intussusception is associated with underlying pathology as a lead point. The underlying pathology usually is malignant, but the prognosis is better when there is a benign lead point. The benign lead point intussusceptions are rare and are treated with reduction when there are no signs of ischemia. When there is ischemia or when reduction is not feasible, they are treated with surgical resection. In this report, we describe a rare case of an adult intussusception from a large colonic lipoma in a 79-year-old male, treated successfully with surgical resection.
Published by Oxford University Press and JSCR Publishing Ltd. All rights reserved. © The Author(s) 2022.
Figures




References
-
- Hadid T, Elazzamy H, Kafri Z. Bowel intussusception in adults: think cancer. Case Rep Gastroenterol 2020;14:27–33.
Publication types
LinkOut - more resources
Full Text Sources