Skip to main page content
U.S. flag

An official website of the United States government

Dot gov

The .gov means it’s official.
Federal government websites often end in .gov or .mil. Before sharing sensitive information, make sure you’re on a federal government site.

Https

The site is secure.
The https:// ensures that you are connecting to the official website and that any information you provide is encrypted and transmitted securely.

Access keys NCBI Homepage MyNCBI Homepage Main Content Main Navigation
Case Reports
. 2022 Jul 6:19:100560.
doi: 10.1016/j.ebr.2022.100560. eCollection 2022.

Epilepsy surgery in PCDH 19 related developmental and epileptic encephalopathy: A case report

Affiliations
Case Reports

Epilepsy surgery in PCDH 19 related developmental and epileptic encephalopathy: A case report

Lakshmi Nagarajan et al. Epilepsy Behav Rep. .

Abstract

We report a female child with PCDH19 related developmental and epileptic encephalopathy with drug-resistant seizures, cognitive and language impairment, autism spectrum disorder and sleep dysfunction. Her seizures, which started at 10 months of age, were resistant to multiple anti-seizure medications. Developmental stagnation followed by regression occurred after the onset of recurrent seizures. Her ictal EEGS suggested left temporal lobe origin for her recorded seizures. MRI upon expert re-review showed a subtle abnormality in the left temporal lobe. In view of the severe nature and frequency of her seizures, a left temporal lobectomy was undertaken at the age of 2 years and 3 months. Though her seizure outcome was Engel class 3, her seizure frequency and severity were significantly reduced. She has been seizure-free for 10 months at her last outpatient assessment when she was 4 years and 8 months of age (2 years and 5 months after epilepsy surgery). However she recently had an admission for COVID19 infection, with a breakthrough cluster of seizures. Her developmental trajectory changed, though she is making good progress with her cognitive and language skills.

Keywords: DEE; Epilepsy surgery; Genetic epilepsy; PCDH19.

PubMed Disclaimer

Conflict of interest statement

The authors declare that they have no known competing financial interests or personal relationships that could have appeared to influence the work reported in this paper.

Figures

Fig. 1
Fig. 1
Interictal and ictal EEG: All EEG epochs are displayed in a double-banana montage. Calibration bars are present in each subfigure: horizontal 1 s, vertical 200 μV. 1A. A 15 s epoch showing interictal epileptiform discharges from the left temporal and temporo-occipital regions. Intermittent left temporal slowing is also seen.1B. A 15 s epoch showing electrographic seizure onset from the left hemisphere (arrowhead). 1C. A 60 s epoch showing 6th minute of the seizure. Note prominent the left temporal epileptiform discharges.
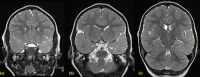
Fig. 2
Fig. 2
MRI Brain with coronal oblique T2 images of the temporal lobes from anterior to posterior (a) – (c): There is asymmetric T2 high signal within the left anterior temporal lobe and polar white matter (arrows) consistent with an underlying cortical dysplasia. The hippocampi have a normal appearance. The right temporal lobe myelination is within normal limits for age.
Fig. 3
Fig. 3
Fluorine – 18- fluorodeoxyglucose positron-emission tomography / computed tomography (FDG PET/CT) 3D stereotactic surface projection and normal database comparison (Neurostat): Localized hypometabolism in the left temporal lobe (arrows). Visual cortex hypometabolism related to general anaesthesia.
Fig. 4
Fig. 4
Histopathology. A-C. Medial temporal lobe entorhinal cortex showing neuronal precursors forming a linear band within layer II. A. Low magnification, the asterisk is at a band of neuroblasts (H&E, 40x). B. BCL2 immunohistochemical stain highlighting band-like distribution (asterisk) of neuroblasts (BCL2, 40x). C. High magnification showing clustered neuroblasts in the region of layer II (H&E, 200x). D. Subtotal absence of neurons within cortical layer IV of the distal entorhinal cortex, more than the usual reduction in layer IV neuronal density in this region. This is sufficient for abnormal tangential lamination, or focal cortical dysplasia type 1B by the ILAE classification (NeuN immunohistochemical stain, red lines show position of layer IV, 40x). E. Persistent periventricular neuronal precursors near the temporal horn of the lateral ventricle, with linear extension into the adjacent deep temporal lobe white matter in keeping with an abnormality of neuronal migration (red lines show the distribution of the neuronal precursors, H&E, 100x). F. Increased numbers of single heterotopic neurones within the subcortical and deep white matter of the temporal lobe (asterisk), amounting for to a mild malformation of cortical development (mMCD) (MAP2A immunohistochemistry, 20x). (For interpretation of the references to color in this figure legend, the reader is referred to the web version of this article.)

References

    1. Aledo-Serrano Á., Del Ser T., Gil-Nagel A. Antiseizure medication withdrawal in seizure-free patients with PCDH19-related epilepsy: A multinational cohort survey. Seizure. 2020;80:259–261. - PubMed
    1. Barba C., Parrini E., Coras R., Galuppi A., Craiu D., Kluger G., et al. Co-occurring malformations of cortical development and SCN1A gene mutations. Epilepsia. 2014;55(7):1009–1019. - PubMed
    1. Borghi R., Magliocca V., Petrini S., Conti L.A., Moreno S., Bertini E., et al. Dissecting the role of PCDH19 in clustering epilepsy by exploiting patient-specific models of neurogenesis. J Clin Med. 2021;10(13):2754. - PMC - PubMed
    1. Breuillard D., Leunen D., Chemaly N., Auclair L., Pinard J.M., Kaminska A., et al. Autism spectrum disorder phenotype and intellectual disability in females with epilepsy and PCDH-19 mutations. Epilepsy Behav. 2016;60:75–80. - PubMed
    1. Chemaly N., Losito E., Pinard J.M., Gautier A., Villeneuve N., Arbues A.S., et al. Early and long-term electroclinical features of patients with epilepsy and PCDH19 mutation. Epileptic Disord. 2018;20(6):457–467. - PubMed

Publication types

LinkOut - more resources