Ginger Is a Potential Therapeutic for Chronic Toxoplasmosis
- PMID: 35890042
- PMCID: PMC9315699
- DOI: 10.3390/pathogens11070798
Ginger Is a Potential Therapeutic for Chronic Toxoplasmosis
Abstract
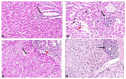
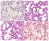
Background:Toxoplasma gondii (T. gondii) is an opportunistic parasite that causes serious diseases in humans, particularly immunocompromised individuals and pregnant women. To date, there are limited numbers of therapeutics for chronic toxoplasmosis which necessitate the discovery of effective and safe therapeutics. In the present study, we aimed to evaluate the antitoxoplasmosis potential of ginger extract in mice with experimentally induced chronic toxoplasmosis. Results: Treatment with ginger extract significantly reduced cysts count in the brains of T. gondii-infected mice with a marked alleviation of edema and inflammation, and a reversal of neuronal injury. Moreover, ginger extract treatment reduced inflammation in liver and lungs and protected hepatocytes from infection-induced degeneration. Consistently, apoptosis was significantly mitigated in the brains of ginger extract-treated mice compared to infected untreated animals or spiramycin-treated animals. Methods: Four groups of Swiss albino mice (10 mice each) were used. The first group was not infected, whereas 3 groups were infected with Me49 T. gondii strains. One infected group remained untreated (infected untreated), whereas the other two infected groups were treated with either ginger extract (250 mg/kg) or spiramycin (positive control; 100 mg/kg), respectively. The therapeutic potential of ginger extract was evaluated by calculation of the parasite burden in infected animals, and examination of the infected tissues for reduced pathologic changes. Conclusions: Our results showed for the first time that ginger extract exhibited marked therapeutic effects in mice with chronic T. gondii infection which indicates that it can be used as a safe and effective treatment for chronic toxoplasmosis.
Keywords: T. gondii; brain; cysts; ginger; liver; lung; toxoplasmosis; treatment.
Conflict of interest statement
The authors declare no conflict of interest.
Figures
References
-
- Rostami A., Riahi S.M., Gamble H.R., Fakhri Y., Nourollahpour Shiadeh M., Danesh M., Behniafar H., Paktinat S., Foroutan M., Mokdad A.H., et al. Global prevalence of latent toxoplasmosis in pregnant women: A systematic review and meta-analysis. Clin. Microbiol. Infect. Off. Publ. Eur. Soc. Clin. Microbiol. Infect. Dis. 2020;26:673–683. doi: 10.1016/j.cmi.2020.01.008. - DOI - PubMed
LinkOut - more resources
Full Text Sources
