Iodinated Contrast Media Extravasation Injuries: Should Osmolality and the Pattern of Distribution Affect Management?: A Literature Review and Case Report Comparison
- PMID: 35903426
- PMCID: PMC9280047
Iodinated Contrast Media Extravasation Injuries: Should Osmolality and the Pattern of Distribution Affect Management?: A Literature Review and Case Report Comparison
Abstract
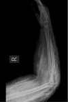
Background: Contrast media extravasation injuries are uncommon, and both conservative and surgical management approaches have been previously described. Over time the use of lower osmolar contrast solutions has prompted fewer complications, whereas the use of automated infusion systems has increased the overall incidence. Local radiology departments frequently have their own protocols for the initial management of extravasation injuries, but if the injury is considered more severe or results in soft tissue compromise, the plastic surgery department is often consulted. Surgical management options depend on the nature of the agent and the degree of extravasation. Stab incisions of the overlying skin followed by the application of pressure have been described for injuries which are more severe.
Methods: Two cases were compared in the context of the prevailing literature. One of these was a large volume extravasation of an iodine-based imaging contrast agent with a diffuse distribution pattern, rendering it unsuitable for this method of evacuation. This is contrasted with a case with a more discrete collection better suited to acute evacuation.
Results: This review found that current literature does not account for distribution patterns of extravasation medium in the decision-making process around surgical intervention.
Conclusions: A review of the relevant literature suggests that the pattern of distribution should be accounted for when considering surgical management.
Keywords: compartment syndrome; contrast; extravasation.
© 2022, HMP Global. All rights reserved. Reproduction in whole or in part prohibited. Content may not be reproduced in any form without written permission. Rights, Permission, Reprint, and Translation information is available at www.hmpglobal.com.
Figures




References
-
- Wang CL, Cohan RH, Ellis JH, Adusumilli S, Dunnick NR. Frequency, management, and outcome of extravasation of nonionic iodinated contrast medium in 69 657 intravenous injections. Radiology. 2007;243(1):80-87. doi:10.1148/radiol.243106055410.1148/radiol.2431060554 - DOI - DOI - PubMed
-
- Cohan RH, Ellis JH, Garner WL. Extravasation of radiographic contrast material: recognition, prevention, and treatment. Radiology. 1996;200(3):593-604. doi:10.1148/radiology.200.3.875689910.1148/radiology.200.3.8756899 - DOI - DOI - PubMed
-
- Sistrom CL, Gay SB, Peffley L. Extravasation of iopamidol and iohexol during contrast-enhanced CT: Report of 28 cases. Radiology. 1991;180(3). doi:10.1148/radiology.180.3.187128110.1148/radiology.180.3.1871281 - DOI - DOI - PubMed
-
- Mandlik V, Prantl L, Schreyer AG. Contrast media extravasation in CT and MRI - a literature review and strategies for therapy. RoFo Fortschritte auf dem Gebiet der Rontgenstrahlen und der Bildgeb Verfahren. 2018;191(1). doi:10.1055/a-0628-7095 - DOI - PubMed
-
- Schaverien MV, Evison D, McCulley SJ. Management of large volume CT contrast medium extravasation injury: technical refinement and literature review. J Plast Reconstr Aesthet Surg. 2008;61(5):562-565. doi:10.1016/j.bjps.2007.02.02410.1016/j.bjps.2007.02.024 - DOI - DOI - PubMed
Publication types
LinkOut - more resources
Full Text Sources