Potential Surgical Implications of Internal Jugular Stenosis in a Craniocervical Junction Meningioma
- PMID: 35915693
- PMCID: PMC9337779
- DOI: 10.7759/cureus.26403
Potential Surgical Implications of Internal Jugular Stenosis in a Craniocervical Junction Meningioma
Abstract
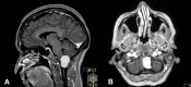
We report a case of a 61-year-old lady presenting with several weeks of progressive left-sided weakness, and found to have a foramen magnum meningioma. She was counselled on surgical resection of the tumour, and a preoperative computed tomography angiogram (CTA) was obtained for operative planning purposes. CTA demonstrated incidental bilateral internal jugular vein (IJV) stenosis, with enlarged extracranial collateral vessels and elongated styloid processes. The main surgical concern was potential injury of the extracranial collateral vessels during operative exposure, which may compromise her intracranial venous outflow in light of the IJV stenosis. A doppler ultrasound scan of the IJVs was performed, which demonstrated that blood flow was still present through both vessels. Through careful soft tissue dissection during surgery, potential complications and injury to the extracranial collaterals were avoided. We performed a literature review of the incidence of IJV stenosis, its associated conditions, and potential surgical implications. Complications from injury to vital collateral extracranial vessels should be considered during preoperative planning in patients with anatomical variants or risk factors for IJV stenosis, as seen in this case.
Keywords: craniocervical junction; eagle syndrome; internal jugular vein stenosis; meningioma; posterior cervical surgery.
Copyright © 2022, Zhang et al.
Conflict of interest statement
The authors have declared that no competing interests exist.
Figures





References
-
- Revisiting the vertebral venous plexus-A comprehensive review of the literature. Carpenter K, Decater T, Iwanaga J, Maulucci CM, Bui CJ, Dumont AS, Tubbs RS. World Neurosurg. 2021;145:381–395. - PubMed
-
- Venous collateral blood flow assessed by Doppler ultrasound after unilateral radical neck dissection. Doepp F, Lammert I, Hoffmann O, Einhäupl KM, Schreiber S, Valdueza JM. Ann Otol Rhinol Laryngol. 2001;110:1055–1058. - PubMed
-
- Venous obstruction and jugular valve insufficiency in idiopathic intracranial hypertension. Nedelmann M, Kaps M, Mueller-Forell W. J Neurol. 2009;256:964–969. - PubMed
Publication types
LinkOut - more resources
Full Text Sources