The placental pathology in Coronavirus disease 2019 infected mothers and its impact on pregnancy outcome
- PMID: 35917629
- PMCID: PMC9293376
- DOI: 10.1016/j.placenta.2022.07.009
The placental pathology in Coronavirus disease 2019 infected mothers and its impact on pregnancy outcome
Abstract
Introduction: This study aims at observing placental pathologies in COVID-19 infected women, and analyzing its impact on pregnancy outcome.
Method: This is a descriptive-analytical study done at a tertiary centre of Northern India. All COVID-19 positive pregnant women with gestational age ≥20 weeks, with placental histopathological reporting, were included in this study. A total of 173 COVID-19 pregnant women were included in the study.
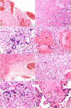
Results: Placental abnormalities were noticed in 49·16% of total 179 placentae examined. Maternal vascular malperfusion (27·93%) was the most observed placental pathology followed by villous fibrin deposits (22·90%), fetal vasculopathy (16·75%), and acute inflammation (6·70%). Stillbirths were 22 and NICU admissions were seen in 50 neonates. Abnormal placental abnormalities led to higher stillbirths (p value 0·011) and lower Apgar scores at 1 and 5 min (p-value 0·028; p-value 0·002, respectively). Intervillous fibrin deposits had higher risk associated with lower Apgar score at 1 and 5 min [RR 2·05 (95% CI 1·21-3·48, p-value 0·010) and RR 5·52 (95% CI 2·58-11·81, p-value <0·001), respectively]. RP clot/hemorrhage was also associated with lower Apgar score at 1 and 5 min [RR 2·61 (95% CI 1·52-4·49, p-value 0·002) and RR 3.54 (95% CI 1·66-7·55, p-value 0·001), respectively].
Discussion: Placental abnormalities in COVID-19 infection were associated with significant higher incidence of unexplained stillbirths, and lower Apgar scores. Although, this is the largest descriptive-analytical study done so far, comparative studies are required to draw a clear conclusion regarding the impact of COVID-19 infection on human placenta and its effect on pregnancy outcomes.
Keywords: COVID-19; Infectious disease; Neonatal outcome; Obstetric complication; Placental pathology; Pregnancy outcome; SARS-CoV-2; Stillbirths.
Copyright © 2022 Elsevier Ltd. All rights reserved.
Conflict of interest statement
Declaration of competing interest We declare no conflict of interests.
Figures

References
-
- Satoskar N.K., Keny S., Bhandari H., Marathe S., Tilve N., Siddarkar R., Seal J. COVID19 India tracker web app”. COVID19 India tracker. www.coronatracker.in/
MeSH terms
Substances
LinkOut - more resources
Full Text Sources
Medical
Miscellaneous