Management of foreign bodies ingestion in children
- PMID: 35930217
- PMCID: PMC9617822
- DOI: 10.1007/s12519-022-00585-7
Management of foreign bodies ingestion in children
Conflict of interest statement
The authors declare that they have no conflict of interest.
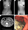
Figures




References
-
- Kirkham EN, Kane M, Paul SP. Foreign body ingestion in children. Community Pract. 2015;88:45–48. - PubMed
Publication types
MeSH terms
LinkOut - more resources
Full Text Sources
Medical