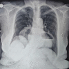
A breathtaking clinical challenge
Keywords: Morgagni hernia; Orthopnea; bilateral hernia; dyspnea.
Figures


References
-
- Svetanoff WJ, Rentea RM. Morgagni Hernia. StatPearls Publishing, Treasure Island, Florida. 2021. Available at: https://www.ncbi.nlm.nih.gov/books/NBK557501. date accessed: 02/06/2021. - PubMed
-
- Federico JA, Ponn RB. Lippincott Williams & Wilkins, Philadelphia. 2000. Foramen of Morgagni hernia. Shields TW, LoCicero J III, Ponn RB (eds).General Thoracic Surgery. 5th Edition; pp. 647–660.
LinkOut - more resources
Full Text Sources