Gastric Pseudomelanosis: An Uncommon Finding
- PMID: 35942172
- PMCID: PMC9356900
- DOI: 10.1155/2022/6290510
Gastric Pseudomelanosis: An Uncommon Finding
Abstract
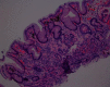
Gastric pseudomelanosis is a benign condition that has been characterized by pigment deposition within subepithelial macrophages inside the stomach wall. Occurrence of the condition is rare, with pseudomelanosis occurring more often within the duodenal mucosa. Few cases have reported pseudomelanosis within the gastric mucosa. We report a case of an 86-year-old female who presented with worsening iron deficiency anemia concerning for gastrointestinal bleeding. Her endoscopic evaluation was remarkable for a speckled pattern of dark pigmentation within the stomach, confirmed to be pseudomelanosis by histologic evaluation with pigment showing positive staining for iron.
Copyright © 2022 John Samies et al.
Conflict of interest statement
The authors declare that they have no conflicts of interest.
Figures




References
-
- Lai J. P., Vuong G., Lai J.-P. Gastric pseudomelanosis (report of a case and review of literature) International Clinical Pathology Journal . 2015;1(1) doi: 10.15406/icpjl.2015.01.00003. - DOI
Publication types
LinkOut - more resources
Full Text Sources