Variants in the zinc transporter TMEM163 cause a hypomyelinating leukodystrophy
- PMID: 35953447
- PMCID: PMC10200305
- DOI: 10.1093/brain/awac295
Variants in the zinc transporter TMEM163 cause a hypomyelinating leukodystrophy
Abstract
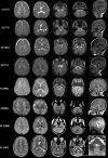
Hypomyelinating leukodystrophies comprise a subclass of genetic disorders with deficient myelination of the CNS white matter. Here we report four unrelated families with a hypomyelinating leukodystrophy phenotype harbouring variants in TMEM163 (NM_030923.5). The initial clinical presentation resembled Pelizaeus-Merzbacher disease with congenital nystagmus, hypotonia, delayed global development and neuroimaging findings suggestive of significant and diffuse hypomyelination. Genomic testing identified three distinct heterozygous missense variants in TMEM163 with two unrelated individuals sharing the same de novo variant. TMEM163 is highly expressed in the CNS particularly in newly myelinating oligodendrocytes and was recently revealed to function as a zinc efflux transporter. All the variants identified lie in highly conserved residues in the cytoplasmic domain of the protein, and functional in vitro analysis of the mutant protein demonstrated significant impairment in the ability to efflux zinc out of the cell. Expression of the mutant proteins in an oligodendroglial cell line resulted in substantially reduced mRNA expression of key myelin genes, reduced branching and increased cell death. Our findings indicate that variants in TMEM163 cause a hypomyelinating leukodystrophy and uncover a novel role for zinc homeostasis in oligodendrocyte development and myelin formation.
Keywords: TMEM163; genomic testing; hypomyelinating leukodystrophies; oligodendrocytes.
© The Author(s) 2022. Published by Oxford University Press on behalf of the Guarantors of Brain. All rights reserved. For permissions, please e-mail: journals.permissions@oup.com.
Conflict of interest statement
Baylor College of Medicine receives revenue from clinical genetic testing completed at Baylor Genetics Laboratories. The authors report no competing interests.
Figures
References
Publication types
MeSH terms
Substances
Grants and funding
LinkOut - more resources
Full Text Sources
Molecular Biology Databases
