Pituitary Apoplexy: Risk Factors and Underlying Molecular Mechanisms
- PMID: 35955859
- PMCID: PMC9369054
- DOI: 10.3390/ijms23158721
Pituitary Apoplexy: Risk Factors and Underlying Molecular Mechanisms
Abstract
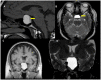
Pituitary apoplexy is a rare syndrome, graded from asymptomatic subclinical apoplexy to a life-threatening condition due to pituitary ischemia or haemorrhage of an enlarged pituitary gland. The risk factors and the molecular underlying mechanisms are yet to be elucidated. We provide an overview of the general concepts, the potential factors associated with pituitary adenoma susceptibility for apoplectic events and the molecular mechanisms that could be involved such as HIF-1α/VEGF pathways and metalloproteinases activation, among others. The knowledge of the molecular mechanisms that could participate in the pathogenesis of pituitary apoplexy is crucial to advancement in the identification of future diagnostic tools and therapeutic targets in this rare but sometimes fatal condition.
Keywords: AIP; TNF; VEGF; apoplexy; growth factors; hypoxia-inducing factor; matrix metalloproteinase; molecular; pituitary; review.
Conflict of interest statement
The authors declare that they have no conflicts of interest.
Figures



References
-
- Hannoush Z.C., Weiss R.E. Pituitary Apoplexy. In: Feingold K.R., Anawalt B., Boyce A., Chrousos G., de Herder W.W., Dhatariya K., Dungan K., Hershman J.M., Hofland J., Kalra S., et al., editors. Endotext. MDText.com, Inc.; Dartmouth, MA, USA: 2000. - PubMed
Publication types
MeSH terms
LinkOut - more resources
Full Text Sources
Medical
Miscellaneous