Primary infectious aortic aneurysm: a case series and review of the literature
- PMID: 35975181
- PMCID: PMC9351984
- DOI: 10.1590/1677-5449.202102061
Primary infectious aortic aneurysm: a case series and review of the literature
Abstract
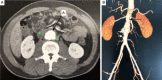
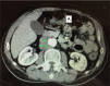
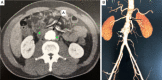
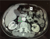
Infectious aneurysms, formerly known as mycotic aneurysms, are rare, most often involve the aorta in young patients, and have a greater tendency to rupture than aneurysms of other etiologies. The most characteristic shape is saccular and the most common etiologic agents are Staphylococcus sp. and Salmonella sp. There is scant and imprecise information in the literature about correct nomenclature, diagnosis, and treatment. The authors present three cases in which diagnostic and therapeutic procedures were documented. In addition to reporting this case series, the authors also present a review of the subject, outlining pertinent diagnostic and therapeutic strategies.
Resumo: Aneurismas infecciosos, anteriormente chamados de aneurismas micóticos, são raros; acometem com maior frequência a aorta de pacientes jovens e apresentam maior tendência à rotura do que aneurismas de outras etiologias. O formato sacular é o mais característico, e os agentes etiológicos mais comuns são Staphylococcus sp e Salmonella sp. A literatura fornece informações limitadas e imprecisas sobre a correta nomenclatura, diagnóstico e tratamento da doença. Os autores reuniram três casos cujos procedimentos diagnósticos e terapêuticos foram documentados. Além de relatar essa série de casos, realiza-se uma revisão sobre o tema, a fim de estabelecer estratégias diagnósticas e terapêuticas pertinentes.
Keywords: abdominal aortic aneurysm; aortic aneurysm; infectious aneurysm; ruptured aortic aneurysm.
Copyright© 2022 The authors.
Conflict of interest statement
Conflicts of interest: No conflicts of interest declared concerning the publication of this article.
Figures












References
-
- Hurtado DFG, Neira JCH, Atala SH, Lawrence PT. Manejo de un aneurisma infeccioso. Rev Cir. 2019;71(5):446–449.
LinkOut - more resources
Full Text Sources