Blastomycosis-Some Progress but Still Much to Learn
- PMID: 36012812
- PMCID: PMC9410313
- DOI: 10.3390/jof8080824
Blastomycosis-Some Progress but Still Much to Learn
Abstract
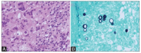
Blastomycosis, caused by Blastomyces spp., is an endemic mycosis capable of causing significant disease throughout the body. Higher rates of infection are seen in the Mississippi and Ohio River valleys, the Great Lakes region of the United States and Canada, much of Africa, and, to a lesser extent, in India and the Middle East. Limited reporting inhibits our true understanding of the geographic distribution of blastomycosis. An estimated 50% of those infected remain asymptomatic. Of those who present with symptomatic disease, pulmonary involvement is most common, while the most common extrapulmonary sites are the skin, bones, genitourinary system, and central nervous system. Itraconazole is the standard therapy for mild-moderate disease. Data for other azoles are limited. Amphotericin is used for severe disease, and corticosteroids are occasionally used in severe disease, but evidence for this practice is limited. Despite increasing incidence and geographic reach in recent years, there are still significant knowledge gaps in our understanding of blastomycosis. Here, we provide an updated review of the epidemiology, clinical presentations, and diagnostic and therapeutic approaches for this infection. We also discuss areas needing further research.
Keywords: Blastomyces; Blastomyces dermatitidis; blastomycosis; diseases; fungus; mycosis.
Conflict of interest statement
The authors declare no conflict of interest.
Figures
 
              
              
              
              
                
                
                 
              
              
              
              
                
                
                 
              
              
              
              
                
                
                 
              
              
              
              
                
                
                 
              
              
              
              
                
                
                References
Publication types
Grants and funding
LinkOut - more resources
- Full Text Sources
- Miscellaneous
 
        