Skip to main page content
U.S. flag

An official website of the United States government

Dot gov

The .gov means it’s official.
Federal government websites often end in .gov or .mil. Before sharing sensitive information, make sure you’re on a federal government site.

Https

The site is secure.
The https:// ensures that you are connecting to the official website and that any information you provide is encrypted and transmitted securely.

Access keys NCBI Homepage MyNCBI Homepage Main Content Main Navigation
. 2022 Apr-Jun;17(2):240-249.
doi: 10.18502/ijpa.v17i2.9542.

Anticancer Activity of Hydatid Cyst Fluid along with Antigen B on Tumors Induced by 4T1 Breast Cancer Cell in a BALB/c Mice Model

Affiliations

Anticancer Activity of Hydatid Cyst Fluid along with Antigen B on Tumors Induced by 4T1 Breast Cancer Cell in a BALB/c Mice Model

Aida Vafae Eslahi et al. Iran J Parasitol. 2022 Apr-Jun.

Abstract

Background: Studies on experimental model of cancer showed that hydatid cyst fluid (HCF) has antitumor activity. We aimed to investigate the effect of HCF and Antigen B (AgB) on 4T1 breast tumor cells in BALB/c mice.

Methods: This study was carried out in the Department of Parasitology, Tarbiat Modares University, Tehran, Iran from 2019 to 2020. There were two control groups of BALB/c mice (one group were injected with aluminum sulfate and another group with PBS), and six groups, injected via the intraperitoneal route with 100, 300 and 500 μg/ml concentrations of HCF, AgB diluted in 100 μl PBS, and alum. Seven days after the last treatment, 7×105 4T1 cells were subcutaneously injected into the right flank of BALB/c mice.

Results: The difference between the mean size of the tumor in the case and control groups was statistically significant (P<0.05). The mean level of cytokines between the case and control groups was statistically significant (P<0.05). Our histo-pathological studies showed a reduction in both tumor volume and carcinogenesis in groups injected with 300 μg/ml HCF and 500 μg/ml AgB. The antitumor activity of HCF and AgB may be related to the immune responses against these antigens.

Conclusion: We suggest that polarization of the Th1/Th2 ratio toward the Th1 pathway occurred in groups injected with HCF and AgB. More comprehensive and precise experiments using different hydatid cyst components are required to investigate their prophylactic effects on breast cancer.

Keywords: Breast neoplasms; Cyst fluid; Immunization; Zoonoses.

PubMed Disclaimer

Conflict of interest statement

Conflict of interest The authors declare that they have no conflict of interest.

Figures

Fig. 1:
Fig. 1:
Schematic illustration of AgB and HCF injection and 4T1 implantation in BALB/c mice
Fig. 2:
Fig. 2:
The serum levels of Th1 (IL-2, IL-12, TNF-α, IFN-γ) and Th2 (IL-4 and IL-6) (pg/ml) cytokines in BALB/c mice 72 hours after the last exposure to different concentrations (100, 300 and 500 μg/ml) of AgB and HCF and in control groups. The results show mean ± SEM and asterisk indicates (P < 0.05)
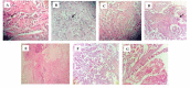
Fig. 3:
Fig. 3:
Histological findings of breast cancer tissue (stained with H & E) induced by 4T1 cell line with a magnification of (×10) and (×40); (A) control group; (B) group injected with 100 μg/ml AgB and HCF; (C) group injected with 100 μg/ml HCF; (D) group injected with 300 μg/ml AgB; (E) group injected with 300 μg/ml HCF; (F) group injected with 500 μg/ml AgB; (G) group injected with 500 μg/ml HC

References

    1. Omidinia N, Zibaei M, Hosseini H, et al. Human hydatidosis in Alborz Province: a 5-year retrospective epidemiological analysis of hospitalized cases. Ann Parasitol. 2020;66(4):587–592. - PubMed
    1. Eslahi AV, Olfatifar M, Karim MR, et al. Global incidence of helminthic contamination of vegetables, cucurbits and fruits: A systematic review and meta-analysis. Food Control. 2021;108582.
    1. Golassa L, Abebe T, Hailu A. Evaluation of crude hydatid cyst fluid antigens for the serological diagnosis of hydatidosis in cattle. J Helminthol. 2011;85(1):100–8. - PubMed
    1. Maleki B, Dalimi A, Majidiani H, et al. Parasitic Infections of Wild Boars (Sus scrofa) in Iran: A Literature Review. Infect Disord Drug Targets. 2020;20(5):585–597. - PubMed
    1. Torre LA, Bray F, Siegel RL, et al. Global cancer statistics, 2012. CA Cancer J Clin. 2015; 65(2):87–108. - PubMed

LinkOut - more resources