Skip to main page content
U.S. flag

An official website of the United States government

Dot gov

The .gov means it’s official.
Federal government websites often end in .gov or .mil. Before sharing sensitive information, make sure you’re on a federal government site.

Https

The site is secure.
The https:// ensures that you are connecting to the official website and that any information you provide is encrypted and transmitted securely.

Access keys NCBI Homepage MyNCBI Homepage Main Content Main Navigation
Case Reports
. 2022 Jul 25;14(7):e27233.
doi: 10.7759/cureus.27233. eCollection 2022 Jul.

Ovarian Dermoid Tumor

Affiliations
Case Reports

Ovarian Dermoid Tumor

Mya St Louis et al. Cureus. .

Abstract

Ovarian dermoid cysts are a common benign tumor. Although there is often a genetic component to this abnormality, this report discusses the case of a patient with an ovarian dermoid tumor with no family history of gynecological cancer. The diagnosis, surgical management, and malignancy of ovarian dermoid cysts are discussed.

Keywords: cyst; emergency medicine; ovarian dermoid tumor; ovary; tumor.

PubMed Disclaimer

Conflict of interest statement

The authors have declared that no competing interests exist.

Figures

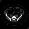
Figure 1
Figure 1. Abdominal and pelvic CT
Arrow denotes ovarian mass.
Figure 2
Figure 2. Pelvic ultrasound
Arrow denotes ovarian mass.
Figure 3
Figure 3. Transvaginal sonogram
Arrow denotes ovarian mass; a large dark form is a uterus.

References

    1. Squamous lesions of the ovary. Mahe E, Sur M. Arch Pathol Lab Med. 2011;135:1611–1614. - PubMed
    1. Ovarian mature cystic teratoma: challenges of surgical management. Sinha A, Ewies AA. Obstet Gynecol Int. 2016;2016:2390178. - PMC - PubMed
    1. Mature cystic teratoma of the ovary: a cutting edge overview on imaging features. Sahin H, Abdullazade S, Sanci M. Insights Imaging. 2017;8:227–241. - PMC - PubMed
    1. Dermoid cysts in adolescents. Multani J, Kives S. Curr Opin Obstet Gynecol. 2015;27:315–319. - PubMed
    1. Germ cell tumors of the gonads: a selective review emphasizing problems in differential diagnosis, newly appreciated, and controversial issues. Ulbright TM. Mod Pathol. 2005;18:61–79. - PubMed

Publication types

LinkOut - more resources