A Worm's Tale or Why to Avoid the Raccoon Latrine: A Case of Baylisascaris procyonis Meningoencephalitis
- PMID: 36046372
- PMCID: PMC9420633
- DOI: 10.1155/2022/5199863
A Worm's Tale or Why to Avoid the Raccoon Latrine: A Case of Baylisascaris procyonis Meningoencephalitis
Abstract
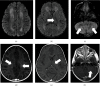
The raccoon roundworm Baylisascaris procyonis (B. procyonis) may infect humans to cause severe or fatal meningoencephalitis, as well as ocular and visceral larva migrans. Young children are at greater risk for cerebral larva migrans with severe meningoencephalitis, and early empiric therapy may improve outcomes. Familiarity with characteristic brain imaging findings may prompt earlier diagnosis, particularly in the setting of CSF eosinophilia. We report a case of a 19-month-old boy who presented with truncal ataxia and was found to have peripheral and CSF eosinophilia. MRI demonstrated symmetric, confluent T2 hyperintense signal in the cerebral and cerebellar deep white mater, which helped differentiate B. procyonis meningoencephalitis from other infectious and non-infectious causes of eosinophilic meningoencephalitis. Early recognition and treatment of B. procyonis meningoencephalitis are important for improved outcomes, and careful review of neuroimaging can play a critical role in suggesting the diagnosis.
Copyright © 2022 Adam E. Goldman-Yassen et al.
Conflict of interest statement
This work was predominately performed under the employment of NYU Langone Medical Center.
Figures
References
-
- Garcia H. H., Tanowitz H. B., Brutto O. H. Neuroparasitology and Tropical Neurology . Philadelphia: Elsevier; 2013.
-
- Kazacos K. R., Boyce W. M. Baylisascaris larva migrans. Journal of the American Veterinary Medical Association . 1989;195(7):894–903. - PubMed
Publication types
LinkOut - more resources
Full Text Sources
