Photon-Counting Detector CT: Key Points Radiologists Should Know
- PMID: 36047540
- PMCID: PMC9434736
- DOI: 10.3348/kjr.2022.0377
Photon-Counting Detector CT: Key Points Radiologists Should Know
Abstract
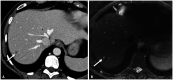
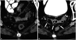
Photon-counting detector (PCD) CT is a new CT technology utilizing a direct conversion X-ray detector, where incident X-ray photon energies are directly recorded as electronical signals. The design of the photon-counting detector itself facilitates improvements in spatial resolution (via smaller detector pixel design) and iodine signal (via count weighting) while still permitting multi-energy imaging. PCD-CT can eliminate electronic noise and reduce artifacts due to the use of energy thresholds. Improved dose efficiency is important for low dose CT and pediatric imaging. The ultra-high spatial resolution of PCD-CT design permits lower dose scanning for all body regions and is particularly helpful in identifying important imaging findings in thoracic and musculoskeletal CT. Improved iodine signal may be helpful for low contrast tasks in abdominal imaging. Virtual monoenergetic images and material classification will assist with numerous diagnostic tasks in abdominal, musculoskeletal, and cardiovascular imaging. Dual-source PCD-CT permits multi-energy CT images of the heart and coronary arteries at high temporal resolution. In this special review article, we review the clinical benefits of this technology across a wide variety of radiological subspecialties.
Keywords: Clinical applications; Computed tomography; Diagnostic imaging; Photon counting X-ray detectors; Spectral tomography.
Copyright © 2022 The Korean Society of Radiology.
Conflict of interest statement
Cynthia H. McCollough: Research Grant to institution, Siemens Healthcare GmbH. Joel G. Fletcher: Research Grant to institution, Siemens Healthcare GmbH.
Figures













References
-
- Willemink MJ, Persson M, Pourmorteza A, Pelc NJ, Fleischmann D. Photon-counting CT: technical principles and clinical prospects. Radiology. 2018;289:293–312. - PubMed