A Strange Twist
- PMID: 36049201
- PMCID: PMC9436496
- DOI: 10.5811/cpcem.2022.4.56344
A Strange Twist
Abstract
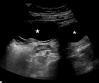
Case presentation: A 16-year-old female presented to the emergency department with acute onset of right lower quadrant abdominal pain for several hours. The patient was afebrile and physical examination was notable for isolated tenderness in the right lower quadrant. Ultrasound and computed tomography demonstrated an adnexal cystic structure. Pelvic magnetic resonance imaging was ordered to better characterize the pathology.
Discussion: Isolated fallopian tube torsion is an uncommon entity requiring prompt surgical intervention. Recognition and appropriate management are essential.
Conflict of interest statement
Figures



References
-
- Casey RK, Damle LF, Gomez-Lobo V. Isolated fallopian tube torsion in pediatric and adolescent females: a retrospective review of 15 cases at a single institution. J Pediatr Adolesc Gynecol. 2013;26(3):189–92. - PubMed
-
- Hagege R, Sharvit M, Hamou B, et al. Isolated fallopian tube torsion: an under-diagnosed entity with debatable management. J Minim Invasive Gynecol. 2021;29(1):158–63. - PubMed
-
- Bertozzi M, Noviello C, Molinaro F, et al. Isolated fallopian tube torsion in pediatric age: an italian multicenter retrospective study. J Pediatr Surg. 2020;55(4):711–4. - PubMed