Percutaneous treatment of chest wall chondroid hamartomas: the experience of a single center
- PMID: 36058941
- PMCID: PMC9892089
- DOI: 10.1007/s00247-022-05498-1
Percutaneous treatment of chest wall chondroid hamartomas: the experience of a single center
Abstract
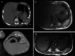
Background: Thoracic mesenchymal hamartomas are rare benign lesions. Rarely symptomatic, they may compress pulmonary parenchyma, leading to respiratory distress. Although spontaneous regression has been documented, the more common outcome is progressive growth. The treatment of choice is en bloc excision of the involved portion of the chest wall, frequently leading to significant deformity.
Objective: The aim of our study was to describe percutaneous techniques to treat these lesions.
Materials and methods: We collected data of children with thoracic mesenchymal hamartomas who were treated at our institution from 2005 to 2020 using various percutaneous techniques. Techniques included radiofrequency thermoablation, microwave thermoablation (microwave thermoablation) and cryoablation.
Results: Five children were treated for chest wall hamartomas; one child showed bilateral localization of the mass. Two children underwent microwave thermoablation, one radiofrequency thermoablation and two cryoablation; one child treated with cryoablation also had radiofrequency thermoablation because mass volume increased after the cryoablation procedure. The median reduction of tumor volume was 69.6% (24.0-96.5%). One child treated with microwave thermoablation showed volumetric increase of the mass and underwent surgical removal of the tumor. No major complication was reported.
Conclusion: Percutaneous ablation is technically feasible for expert radiologists and might represent a valid and less invasive treatment for chest wall chondroid hamartoma, avoiding skeletal deformities.
Keywords: Chest wall; Children; Computed tomography; Cryosurgery; Hamartoma; Microwave; Radiofrequency ablation; Ribs; Thorax.
© 2022. The Author(s).
Conflict of interest statement
None
Figures
References
MeSH terms
LinkOut - more resources
Full Text Sources
Research Materials
