Skip to main page content
U.S. flag

An official website of the United States government

Dot gov

The .gov means it’s official.
Federal government websites often end in .gov or .mil. Before sharing sensitive information, make sure you’re on a federal government site.

Https

The site is secure.
The https:// ensures that you are connecting to the official website and that any information you provide is encrypted and transmitted securely.

Access keys NCBI Homepage MyNCBI Homepage Main Content Main Navigation
. 2022 Jul 30;14(7):e27486.
doi: 10.7759/cureus.27486. eCollection 2022 Jul.

Histopathological Spectrum of Ovarian Neoplasms: A Single-Center Study

Affiliations

Histopathological Spectrum of Ovarian Neoplasms: A Single-Center Study

Ayma Batool et al. Cureus. .

Abstract

Introduction Among female genital tract-related malignancies, ovarian tumors are the leading cause of mortality. The present study was conducted to identify the various histopathological spectrums of ovarian neoplasm (ON) according to the World Health Organization (WHO) classification in a single center. Material and methods This cross-sectional study was conducted over a period of one year (November 2020 to October 2021) in the Department of Histopathology, Chughtai Institute of Pathology (CIP), Lahore, Pakistan. The study included 390 cases of ovarian neoplasms (ONs). After proper fixation and thorough gross examination, sections were routinely processed and examined. The distribution of the various histomorphological spectrum of ovarian tumors was studied according to the WHO classification. Results Out of the 390 cases studied, 320 (82.05%) were benign, 11 (2.82%) borderline, 57 (14.61%) malignant, and two (0.52%) metastatic tumors. Surface epithelial tumors (SETs) (246 (63.08%)) were the most common of all, followed by germ cell tumors (GCTs) (115 (29.48%)) and sex cord-stromal tumors (SSTs) (27 (6.92%)). The largest percentage (36.15%) of ONs was seen in 21-30 years of age group. Conclusion The present study shows various histopathological features of ONs. Benign tumors are more common than malignant tumors. Among the benign tumors, serous tumors were most common of all. Thus, an accurate histological diagnosis is important to initiate a proper management plan.

Keywords: germ cell tumors; ovarian cancer; sex cord-stromal tumors; surface epithelial tumors; who.

PubMed Disclaimer

Conflict of interest statement

The authors have declared that no competing interests exist.

Figures

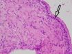
Figure 1
Figure 1. Serous cystadenoma showing cuboidal epithelium (arrow) (H&E x200)
H&E: hematoxylin and eosin.
Figure 2
Figure 2. Mucinous cyst adenoma showing columnar epithelium with apical mucin (arrow) (H&E x400)
H&E: hematoxylin and eosin.
Figure 3
Figure 3. Mature cystic teratoma showing sebaceous gland (arrow) (H&E x200)
H&E: hematoxylin and eosin.
Figure 4
Figure 4. Mature cystic teratoma showing benign cartilage (arrow) (H&E x200)
H&E: hematoxylin and eosin.

References

    1. Clinicopathological study of ovarian tumors: a 2-year study. Manoja V, Pramood M, Jyothi V, Chandrashekar KP. Int J Sci Stud. 2017;5:300–305.
    1. Study of histomorphological spectrum of ovarian tumours. Garg N, Anand AS, Annigeri C. http://www.medicalsciencejournal.com/archives/2017/vol3/issue10/3-9-51 Int J Med Health Res. 2017;3:12–20.
    1. Histopathological spectrum of ovarian tumors in a tertiary care hospital. Bandla S, Charan BV, Vissa S, Sai PV, Rao NM, Rao BS, Grandhi EB. Saudi J Pathol Microbiol. 2020;5:50–55.
    1. Spectrum of ovarian tumours: a five year study. Narang S, Singh A, Nema S, Karode R. J Pathol Nepal. 2017;7:1180–1183.
    1. Histopathological spectrum of ovarian neoplasms in a tertiary care hospital. Dutta A, Imran R, Saikia P, Borgohain M. Int J Contemp Med Res. 2018;5:111–114.

LinkOut - more resources