COVID-19-Associated Superior Mesenteric Artery Thrombosis and Acute Intestinal Ischemia
- PMID: 36081973
- PMCID: PMC9441416
- DOI: 10.7759/cureus.27722
COVID-19-Associated Superior Mesenteric Artery Thrombosis and Acute Intestinal Ischemia
Abstract
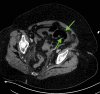
The prothrombotic nature of severe acute respiratory syndrome coronavirus 2 (SARS-CoV-2) has been well-established since the start of the global coronavirus disease 2019 (COVID-19) pandemic. Mesenteric artery thrombosis and acute mesenteric ischemia are, on their own, rare occurrences and often present with fatal gastrointestinal (GI) pathologies requiring quick identification and intervention by the clinician to improve clinical outcomes. SARS-CoV-2 infection can present with acute GI pathologies and warrants further investigation regarding anticoagulation therapy in COVID-19 positive patients. We report on a 64-year-old woman infected with SARS-CoV-2 who presented with superior mesenteric artery thrombosis and acute intestinal ischemia.
Keywords: acute gi pathology; bowel; covid-19; covid-19 associated coagulopathy; gastrointestinal; ischemia; mesenteric; sars-cov-2 (severe acute respiratory syndrome coronavirus -2); thrombus; vascular.
Copyright © 2022, Segovia et al.
Conflict of interest statement
The authors have declared that no competing interests exist.
Figures
 
              
              
              
              
                
                
                 
              
              
              
              
                
                
                 
              
              
              
              
                
                
                 
              
              
              
              
                
                
                References
Publication types
LinkOut - more resources
- Full Text Sources
- Miscellaneous
