COVID-19 Omicron variant-induced laryngitis
- PMID: 36114072
- PMCID: PMC9395289
- DOI: 10.1016/j.anl.2022.08.007
COVID-19 Omicron variant-induced laryngitis
Abstract
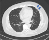
Objectives: The COVID-19 omicron variant has a low affinity for the lower respiratory tract. However, upper respiratory tract symptoms, such as nasal discharge and sore throat, characterize the infection with this variant. Therefore, in laryngeal stenosis, disease severity assessment through blood oxygen saturation has not been useful.
Methods: We report the case of "omicron laryngitis" in a 59-year-old male who visited the ear, nose, and throat (ENT) clinic with complaints of a sore throat and difficulty in swallowing saliva that persisted for a day.
Results: Laryngoscopy revealed severe swelling of the transglottic region and exudates on the larynx. He was then diagnosed with COVID-19 and subjected to emergency tracheostomy for airway management. Until the emergence of the omicron variant, COVID-19 showed mainly lower airway and mild upper airway inflammatory features. However, upper airway stenosis should be suspected in cases presenting with "muffled speech," "dysphagia," "severe pain on swallowing," and "inspiratory dyspnea or stridor."
Conclusion: Therefore, laryngeal and pharyngeal evaluation using a flexible laryngoscope under appropriate infection control measures is necessary, considering the possibility of progression to fatal laryngeal stenosis, as noted in this case.
Keywords: Airway management; COVID-19; Laryngitis; Tracheostomy; Upper airway stenosis.
Copyright © 2022. Published by Elsevier B.V.
Conflict of interest statement
Declaration of Competing Interest The authors declare no conflicts of interest associated with this manuscript.
Figures



Comment in
-
Collaboration between generalist and ENT physicians in COVID-19 Omicron variant-induced laryngitis.Auris Nasus Larynx. 2023 Aug;50(4):652-653. doi: 10.1016/j.anl.2022.10.004. Epub 2022 Oct 24. Auris Nasus Larynx. 2023. PMID: 36319505 Free PMC article. No abstract available.
References
-
- Omicron and cold-like symptoms rapidly taking over in London. Zoe COVID Study. Dec 16, 2021. https://covid.joinzoe.com/post/omicron-and-cold-like-symptoms-rapidly-ta....
Publication types
MeSH terms
Supplementary concepts
LinkOut - more resources
Full Text Sources
Medical
Research Materials
Miscellaneous