Massive Thrombosis of Mitral Bioprosthesis Due to SARS-CoV-2 Infection
- PMID: 36142921
- PMCID: PMC9505639
- DOI: 10.3390/jcm11185277
Massive Thrombosis of Mitral Bioprosthesis Due to SARS-CoV-2 Infection
Abstract
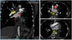
Thromboembolic events have been reported as frequent and fearsome complications in patients affected by SARS-CoV-2 infection. Patients undergoing cardiac valve replacement exhibit an increased risk of valve thrombosis, even with prosthetic biological valves, and especially in the first period after surgery. The management of these patients is challenging and requires prompt interventions. We report the case of a young woman infected by SARS-CoV-2 three months after double cardiac valve replacement that developed a massive prosthetic biological valve thrombosis despite optimal anticoagulant therapy.
Keywords: COVID-19; SARS-CoV-2; heart valve prosthesis; thrombosis.
Conflict of interest statement
The authors declare no conflict of interest.
Figures



References
-
- Bikdeli B., Madhavan M.V., Jimenez D., Chuich T., Dreyfus I., Driggin E., Nigoghossian C., Ageno W., Madjid M., Guo Y., et al. COVID-19 and Thrombotic or Thromboembolic Disease: Implications for Prevention, Antithrombotic Therapy, and Follow-Up: JACC State-of-the-Art Review. J. Am. Coll. Cardiol. 2020;75:2950–2973. doi: 10.1016/j.jacc.2020.04.031. - DOI - PMC - PubMed
-
- Llopis Gisbert G., Vidal Urrutia V., Moruno Benita M.A., Payá Chaume A., Berenguer Jofresa A., Cubillos Arango A.M., Pérez Boscá J.L., Payá Serrano R. Bioprosthetic Valve Thrombosis and Obstruction Secondary to COVID-19. Can. J. Cardiol. 2021;37:938.e3–938.e6. doi: 10.1016/j.cjca.2020.10.008. - DOI - PMC - PubMed
Publication types
LinkOut - more resources
Full Text Sources
Miscellaneous