Skip to main page content
U.S. flag

An official website of the United States government

Dot gov

The .gov means it’s official.
Federal government websites often end in .gov or .mil. Before sharing sensitive information, make sure you’re on a federal government site.

Https

The site is secure.
The https:// ensures that you are connecting to the official website and that any information you provide is encrypted and transmitted securely.

Access keys NCBI Homepage MyNCBI Homepage Main Content Main Navigation
Case Reports
. 2022 Oct;12(4):697-701.
doi: 10.1177/19418744221106313. Epub 2022 Jun 6.

Intrathecal Methotrexate Toxicity Resulting in Brain Death due to Generalized Cerebral Edema Case Report

Affiliations
Case Reports

Intrathecal Methotrexate Toxicity Resulting in Brain Death due to Generalized Cerebral Edema Case Report

Haoming Pang et al. Neurohospitalist. 2022 Oct.

Abstract

Intrathecal methotrexate (IT MTX) resulting in severe adverse events including life-threatening cerebral edema is not well described. We report a rare case of death in a 37-year-old BRCA1+ woman with metastatic triple-negative breast cancer status post mastectomy following administration of IT MTX for leptomeningeal carcinomatosis. Within the 24 hours after intraoperative IT MTX delivery, she developed neurologically devastating diffuse cerebral edema leading to uncal and cerebellar tonsillar herniation. This case report highlights a rare but devastating side effect of IT MTX.

Keywords: breast cancer; carcinomatosis; case report; cerebral edema; intrathecal methotrexate.

PubMed Disclaimer

Conflict of interest statement

Declaration of Conflicting Interests: The author(s) declared no potential conflicts of interest with respect to the research, authorship, and/or publication of this article.

Figures

Figure 1.
Figure 1.
Post-gadolinium MRI of the brain and spine. A, Axial preoperative post-gadolinium T1 weighted brain MRI demonstrated widespread leptomeningeal enhancement along the cerebellum and right temporal cortex (B) with extension throughout the CNS involving the surface of the spinal cord and associated diffuse osseus metastatic disease (C).
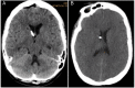
Figure 2.
Figure 2.
Non-contrast head CT Findings. A, Immediate postoperative non-contrast head CT with good placement of the Ommaya catheter. B, Repeat non-contrast head CT 19 hours after Ommaya placement and IT MTX administration.
Figure 3.
Figure 3.
Autopsy and histopathological findings. , Ventral surface of the thoracic-lumbar spinal cord with dura opened longitudinally and pinned down. B, Close-up of hemorrhagic and partially necrotic deposits underneath arachnoid membrane. C, Hematoxylin and eosin (H&E) 100X magnification showing a stained section of cerebellum with extensive meningeal spread. D, 100X magnification H&E section of spinal cord (arrow indicates central canal) showing carcinoma extending through the ventral fissure.

References

    1. Kak M, Nanda R, Ramsdale EE, Lukas RV. Treatment of leptomeningeal carcinomatosis: current challenges and future opportunities. J Clin Neurosci Off J Neurosurg Soc Australas. 2015;22(4):632-637. doi:10.1016/j.jocn.2014.10.022 - DOI - PubMed
    1. Yap HY, Yap BS, Tashima CK, DiStefano A, Blumenschein GR. Meningeal carcinomatosis in breast cancer. Cancer. 1978;42(1):283-286. doi:10.1002/1097-0142(197807)42:1<283::aid-cncr2820420142>3.0.co;2-# - DOI - PubMed
    1. Grossman SA, Krabak MJ. Leptomeningeal carcinomatosis. Cancer Treat Rev. 1999;25(2):103-119. doi:10.1053/ctrv.1999.0119 - DOI - PubMed
    1. Le Rhun E, Weller M, Brandsma D, et al. EANO–ESMO Clinical Practice Guidelines for diagnosis, treatment and follow-up of patients with leptomeningeal metastasis from solid tumours. Ann Oncol. 2017;28:iv84-iv99. doi:10.1093/annonc/mdx221 - DOI - PubMed
    1. de Faber SIPJ, Mutsaers PGNJ, van den Bent MJ, van der Meulen M. Subacute neurological deficits and respiratory insufficiency due to intrathecal methotrexate. J Clin Transl Res. 2021;7(6):809-810. - PMC - PubMed

Publication types