Hematuria Leads to a New Diagnosis of Cirrhosis
- PMID: 36157612
- PMCID: PMC9386428
- DOI: 10.1159/000525403
Hematuria Leads to a New Diagnosis of Cirrhosis
Abstract
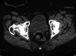
A known consequence of portal hypertension is the development of varices, which are described as "ectopic" when located at unusual sites in the abdomen. Ectopic varices carry a mortality rate as high as 40% after initial hemorrhagic episode. We report a patient who presented with hematuria secondary to bladder varices as the presenting symptom for a new diagnosis of cirrhosis. Cross-sectional imaging, early recognition of this rare event, combined with multidisciplinary management was essential for this patient to have a successful outcome.
Keywords: Cirrhosis; Ectopic varices; Hematuria.
Copyright © 2022 by The Author(s). Published by S. Karger AG, Basel.
Conflict of interest statement
The authors have no conflicts of interest to declare.
Figures





References
-
- Kim M, Al-Khalili R, Miller J. Vesical varices: an unusual presentation of portal hypertension. Clin Imaging. 2015;39((5)):920–2. - PubMed
-
- Parmar K, Rathi S, Khanna A, Gupta M, Singh A, Singh SK, et al. Portal hypertensive vesiculopathy: a rare cause of hematuria and a unique management strategy. Urology. 2018;115:e7. - PubMed
-
- Norton ID, Andrews JC, Kamath PS. Management of ectopic varices. Hepatology. 1998;28((4)):1154–8. - PubMed
-
- Akhter NM, Haskal ZJ. Diagnosis and management of ectopic varices. Gastrointest Interv. 2012;1((1)):3–10.
Publication types
LinkOut - more resources
Full Text Sources