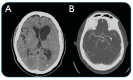
High-resolution vessel wall magnetic resonance imaging for the diagnosis of neurocysticercosis vasculitis
- PMID: 36169490
- PMCID: PMC9549941
- DOI: 10.1590/0037-8682-0203-2022
High-resolution vessel wall magnetic resonance imaging for the diagnosis of neurocysticercosis vasculitis
Conflict of interest statement
Figures


References
-
- Del Brutto OH, Nash TE, White AC, Rajshekhar V, Wilkins PP, Singh G, et al. Revised diagnostic criteria for neurocysticercosis. J Neurol Sci. 2017;372:202–210. - PubMed
-
- Feitoza L de M, Jarry V de M, Ramos M de C, Reis F. High-Resolution Vessel Wall MRI as a Complementary Investigation for CNS Tuberculosis. Can J Neurol Sci. 2021;48(5):717–718. - PubMed
MeSH terms
LinkOut - more resources
Full Text Sources
Medical