Biphenotypic Sinonasal Sarcoma with a Novel PAX3::FOXO6 Fusion: A Case Report and Review of the Literature
- PMID: 36169791
- PMCID: PMC10063736
- DOI: 10.1007/s12105-022-01479-w
Biphenotypic Sinonasal Sarcoma with a Novel PAX3::FOXO6 Fusion: A Case Report and Review of the Literature
Abstract
Background: Biphenotypic sinonasal sarcoma (BSS) is a low-grade, locally aggressive sarcoma unique to the sinonasal region. BSS is most common in middle aged patients and affects women more frequently than men. It is characterized by a bland spindled cell proliferation with neural and myogenic differentiation. BSS are usually associated with rearrangement t(2;4)(q35;q31.1) resulting in a PAX3::MAML3 fusion. Less commonly, other genes are found in combination with PAX3 and some cases reported in the literature have an unknown fusion partner.
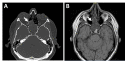
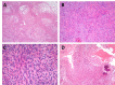
Methods: A 54-year-old man presented with nasal mass. Endoscopic resection showed a low-grade spindle cell neoplasm with morphologic features of BSS and immunohistochemical and next generation sequencing were performed to confirm the diagnosis.
Results: The tumor was positive for S100 and smooth muscle actin but negative for SOX10. Next generation sequencing demonstrated a novel PAX3::FOXO6 gene fusion.
Conclusions: Although a PAX3::FOXO6 gene fusion has never been reported, this finding combined with the morphologic and immunophenotypic features supports the diagnosis of supports the diagnosis of BSS.
Keywords: Biphenotypic sinonasal sarcoma; PAX3:FOXO6; TRK.
© 2022. The Author(s), under exclusive licence to Springer Science+Business Media, LLC, part of Springer Nature.
Conflict of interest statement
The authors have no conflicts of interest.
Figures




References
-
- Andreasen S, Bishop JA, Hellquist H, Hunt J, Kiss K, Rinaldo A, et al. Biphenotypic sinonasal sarcoma: demographics, clinicopathological characteristics, molecular features, and prognosis of a recently described entity. Virchows Arch [Internet]. Virchows Arch; 2018 [cited 2022 May 19];473:615–26. Available from: https://pubmed.ncbi.nlm.nih.gov/30109475/. - PubMed
-
- Fritchie KJ, Jin L, Wang X, Graham RP, Torbenson MS, Lewis JE, et al. Fusion gene profile of biphenotypic sinonasal sarcoma: an analysis of 44 cases. Histopathology [Internet]. Histopathology; 2016 [cited 2022 May 19];69:930–6. Available from: https://pubmed.ncbi.nlm.nih.gov/27454570/. - PubMed
-
- Lewis JT, Oliveira AM, Nascimento AG, Schembri-Wismayer D, Moore EA, Olsen KD, et al. Low-grade sinonasal sarcoma with neural and myogenic features: a clinicopathologic analysis of 28 cases. Am J Surg Pathol [Internet]. Am J Surg Pathol; 2012 [cited 2022 May 19];36:517–25. Available from: https://pubmed.ncbi.nlm.nih.gov/22301502/. - PubMed
-
- Rooper LM, Huang SC, Antonescu CR, Westra WH, Bishop JA. Biphenotypic sinonasal sarcoma: an expanded immunoprofile including consistent nuclear β-catenin positivity and absence of SOX10 expression. Hum Pathol [Internet]. Hum Pathol; 2016 [cited 2022 May 19];55:44–50. Available from: https://pubmed.ncbi.nlm.nih.gov/27137987/. - PMC - PubMed
-
- Wang X, Bledsoe KL, Graham RP, Asmann YW, Viswanatha DS, Lewis JE, et al. Recurrent PAX3-MAML3 fusion in biphenotypic sinonasal sarcoma. Nat Genet [Internet]. Nat Genet; 2014 [cited 2022 May 19];46:666–8. Available from: https://pubmed.ncbi.nlm.nih.gov/24859338/. - PMC - PubMed
Publication types
MeSH terms
Substances
LinkOut - more resources
Full Text Sources
Medical