Skip to main page content
U.S. flag

An official website of the United States government

Dot gov

The .gov means it’s official.
Federal government websites often end in .gov or .mil. Before sharing sensitive information, make sure you’re on a federal government site.

Https

The site is secure.
The https:// ensures that you are connecting to the official website and that any information you provide is encrypted and transmitted securely.

Access keys NCBI Homepage MyNCBI Homepage Main Content Main Navigation
Case Reports
. 2022 Aug 25;14(8):e28383.
doi: 10.7759/cureus.28383. eCollection 2022 Aug.

Endovascular and Endoscopic Treatment of Hemobilia: A Report of Two Cases

Affiliations
Case Reports

Endovascular and Endoscopic Treatment of Hemobilia: A Report of Two Cases

José D Cardona et al. Cureus. .

Abstract

Hemobilia is a term used to describe bleeding caused by abnormal communication between blood vessels and bile ducts. Some vascular anomalies, such as aneurysms or arterio-biliary fistulas, facilitate the appearance of this type of biliary bleeding. Other causes have been described such as iatrogenic causes secondary to percutaneous procedures, infections, tumors, and trauma. We report two cases of hemobilia. The first one presented with acute biliary bleeding with secondary hypovolemic shock. Bleeding was controlled after percutaneous interventions with a selective embolization technique. The second case was a patient who presented to the emergency department after a fall from his height. During hospitalization, acute cholangitis was documented, associated with hemobilia. A wide papillotomy and biliary duct instrumentation were done with the extraction of a large blood clot. Angiography is the standard for diagnosis and embolization becomes the best tool for the detection and control of vascular abnormalities that can perpetuate bleeding.

Keywords: computed tomography (ct ); endovascular procedure; gastrointestinal bleeding; hemobilia; upper endoscopy.

PubMed Disclaimer

Conflict of interest statement

The authors have declared that no competing interests exist.

Figures

Figure 1
Figure 1. (A and B) Fluoroscopy in retrograde endoscopic cholangiography: dilatated common bile duct with blood clot mold in its interior; (C and D) Adequate drainage with full opacification in control images
Figure 2
Figure 2. (A-E) Papillotomy and extraction of blood clot in biliary duct with posterior (F) metallic auto-expandable stent implantation with hemorrhage control
Figure 3
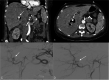
Figure 3. CTA (A) and 3D angiographic study (B) reconstruction of the abdomen showing the presence of a pseudoaneurysm is documented in a segmental branch of the right hepatic artery with a diameter greater than approximately 12 mm (arrows); a biliary stent previously placed in the common bile duct can also be seen
CTA: computed tomography angiography; 3D: three-dimensional
Figure 4
Figure 4. Digital subtraction angiography image showing selective injection through a microcatheter and identifying the presence of a pseudoaneurysm of a segmental branch of the right hepatic artery (arrow). Active contrast medium extravasation is not documented.
Figure 5
Figure 5. (A and B) Contrast tomography of the abdomen in coronal and axial views of the arterial phase with evidence of aneurysmal lesion (arrows) dependent on the right hepatic artery with signs of bleeding, (C) Fluoroscopy with angiographic evidence of an aneurysmal lesion of the right hepatic artery (arrow), and (D) subsequent successful embolization with coils (arrow)
Figure 6
Figure 6. (A and B) Papillotomy and extraction of blood clot in biliary duct and bleeding control

References

    1. Hemobilia: historical overview, clinical update, and current practices. Zhornitskiy A, Berry R, Han JY, Tabibian JH. Liver Int. 2019;39:1378–1388. - PubMed
    1. The expansion of cholangioscopy: established and investigational uses of spyglass in biliary and pancreatic disorders. Yodice M, Choma J, Tadros M. Diagnostics (Basel) 2020;10:132. - PMC - PubMed
    1. Hemobilia due to arteriobiliary fistula complicating ERCP for residual bile duct stone in a case of Mirizzi syndrome. Mathur S, Thapar V, Chowda V. Ann Hepatobiliary Pancreat Surg. 2017;21:88–92. - PMC - PubMed
    1. Biliary bleeding due to a hepatic artery pseudoaneurysm rupture. Barrientos Delgado A, Delgado Maroto A, Hallouch Toutouh S. Rev Esp Enferm Dig. 2018;110:741. - PubMed
    1. Hemobilia as a late complication after blunt abdominal trauma: a case report and review of the literature. Schouten van der Velden AP, de Ruijter WM, Janssen CM, Schultze Kool LJ, Tan EC. J Emerg Med. 2010;39:592–595. - PubMed

Publication types

LinkOut - more resources