Pathologic complete response following low-dose radiation for advanced oral cavity cancer in a patient with human immunodeficiency virus
- PMID: 36192808
- PMCID: PMC9531370
- DOI: 10.1186/s40463-022-00586-6
Pathologic complete response following low-dose radiation for advanced oral cavity cancer in a patient with human immunodeficiency virus
Abstract
Background: Advanced squamous cell carcinoma (SCCa) of the oral cavity is often not amenable to curative-intent therapy due to tumor location, tumor size, or comorbidities.
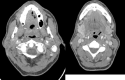
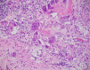
Case presentation: A 51-year-old male patient with human immunodeficiency virus and on highly active antiretroviral therapy (HAART) presented with a cT4aN2c SCCa of the tongue. He received a preoperative single course of Quad-Shot radiation therapy to 14 Gy in 4 fractions followed by surgical resection. Patient had no residual carcinoma on surgical pathology and no evidence of disease on subsequent clinical and radiological exams.
Conclusions: To our knowledge, this is the first case of pathologic complete response for a patient on HAART following a single cycle of the Quad-Shot regimen for advanced oral cavity SCCa. Protease inhibitors in HAART can induce spontaneous tumor regression via inhibition of proteasome function and activation of apoptosis, and thus act as a cancer therapeutic.
Keywords: HAART; HIV; Oral cavity cancer; Radiation therapy.
© 2022. The Author(s).
Conflict of interest statement
The authors declare they have no competing interests.
Figures







References
-
- Siegel RL, Miller KD, Fuchs HE, Jemal A. Cancer statistics, 2021. CA Cancer J Clin. 2021;71(1):7–33. - PubMed
Publication types
MeSH terms
Substances
Grants and funding
LinkOut - more resources
Full Text Sources
Medical
Research Materials