A Case of Cardiac Arrest Caused by Air Embolism from Routine Root Canal Procedure
- PMID: 36212678
- PMCID: PMC9503891
- DOI: 10.14797/mdcvj.1067
A Case of Cardiac Arrest Caused by Air Embolism from Routine Root Canal Procedure
Abstract
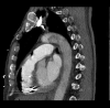
Venous air embolism (VAE) occurs when air is introduced into the venous system and subsequently travels into the right heart and pulmonary circulation. VAE mainly occurs from air that is forced by positive pressure or drawn in by negative pressure. We present a rare case of fatal VAE that occurred during a routine dental root canal procedure. A 69-year-old male was undergoing a root canal procedure at an outpatient dental office under local anesthesia. During the procedure, he went into cardiopulmonary arrest. He was resuscitated, and return of spontaneous circulation was achieved. Thoracic computed tomography was performed and revealed large amounts of air within the right ventricle and portal venous system. VAE should be recognized as a potentially fatal complication resulting from routine dental procedures.
Keywords: air embolism; cardiopulmonary arrest; dental surgery; root canal procedure.
Copyright: © 2022 The Author(s).
Conflict of interest statement
The authors have no competing interests to declare.
Figures





References
Publication types
MeSH terms
LinkOut - more resources
Full Text Sources
Medical