Skip to main page content
U.S. flag

An official website of the United States government

Dot gov

The .gov means it’s official.
Federal government websites often end in .gov or .mil. Before sharing sensitive information, make sure you’re on a federal government site.

Https

The site is secure.
The https:// ensures that you are connecting to the official website and that any information you provide is encrypted and transmitted securely.

Access keys NCBI Homepage MyNCBI Homepage Main Content Main Navigation
. 2022 May 31;29(2):20.
doi: 10.5837/bjc.2022.020. eCollection 2022.

Angina pain associated with isolated R-IIP modified Lipton classification coronary artery anomaly

Affiliations

Angina pain associated with isolated R-IIP modified Lipton classification coronary artery anomaly

Nicholas Coffey et al. Br J Cardiol. .

Abstract

We report a case of a patient that presented with typical angina pain and associated risk factors for coronary artery disease (CAD). Subsequent cardiac catheterisation led to the discovery of an isolated R-IIP modified Lipton classification coronary artery anomaly with follow-up coronary computed tomography angiography (CCTA) confirmation. This case report includes images of the CCTA and left heart catheterisation results, along with a discussion of the potential for increased risk of atherosclerosis in our patient, and a proposed explanation of his presentation with prototypical angina pain, despite lack of apparent atherosclerosis.

Keywords: cardiac catheterisation; computed tomography (CT) angiograph; congenital heart defect.

PubMed Disclaimer

Conflict of interest statement

Conflicts of interest None declared.

Figures

Figure 1.
Figure 1.. Cardiac catheterisation with right coronary artery marked by green outlined star and left coronary artery marked by asterisk symbol
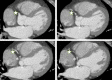
Figure 2.
Figure 2.. Coronary computed tomography angiography (CCTA) with right coronary artery marked by green outlined star and left coronary artery marked by asterisk symbol

References

    1. Yamanaka O, Hobbs RE. Coronaryartery anomalies in 126,595 patients undergoing coronary arteriography. Cathet Cardiovasc Diagn. 1990;21:28–40. doi: 10.1002/ccd.1810210110. - DOI - PubMed
    1. Sharbaugh AH, White RS. Singlecoronary artery: analysis of the anatomic variation, clinical importance, and report of five cases. JAMA. 1974;230:243–246. doi: 10.1001/jama.1974.03240020033019. - DOI - PubMed
    1. Rigatelli G, Rigatelli G. Coronary artery anomalies: what we know and what we have to learn. A proposal for a new clinical classification. Ital Heart J. 2003;4:305–310. Available from: https://www.federcardio.it/pdf/2003/05/20030113.pdf. - PubMed
    1. Click RL, Holmes DR, Vlietstra RE, Kosinski AS, Kronmal RA. Anomalouscoronary arteries: location, degree of atherosclerosis and effect on survival – a report from the Coronary Artery Surgery Study. J Am Coll Cardiol. 1989;13:531–537. doi: 10.1016/0735-1097(89)90588-3. - DOI - PubMed
    1. Lipton MJ, Barry WH, Obrez I, Silverman JF, Wexler L. Isolatedsingle coronary artery: diagnosis, angiographic classification, and clinical significance. Radiology. 1979;130:39–47. doi: 10.1148/130.1.39. - DOI - PubMed

LinkOut - more resources