The Preventive Effects of Naringin and Naringenin against Paclitaxel-Induced Nephrotoxicity and Cardiotoxicity in Male Wistar Rats
- PMID: 36212979
- PMCID: PMC9546692
- DOI: 10.1155/2022/8739815
The Preventive Effects of Naringin and Naringenin against Paclitaxel-Induced Nephrotoxicity and Cardiotoxicity in Male Wistar Rats
Abstract
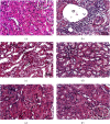
This study assessed the preventive properties of naringin and naringenin on paclitaxel-induced nephrotoxicity and cardiotoxicity in adult male Wistar rats. Intraperitoneal injection of paclitaxel 2 mg/kg body weight, two days/week on the 2nd and 5th days of each week, with or without oral administration of naringin and/or naringenin 10 mg/kg body weight every other day, was continued for six weeks. Treatment of rats with naringin and/or naringenin significantly reversed elevated serum creatinine, urea, and uric acid levels caused by paclitaxel, reflecting improved kidney function. Similarly, heart dysfunction induced by paclitaxel was alleviated after treatment with naringin and/or naringenin, as evidenced by significant decreases in elevated CK-MB and LDH activities. After drug administration, histopathological findings and lesion scores in the kidneys and heart were markedly decreased by naringin and/or naringenin. Moreover, the treatments reversed renal and cardiac lipid peroxidation and the negative impacts on antioxidant defenses via raising GSH, SOD, and GPx. The preventive effects of naringin and naringenin were associated with suppressing oxidative stress and reestablishing antioxidant defenses. A combination of naringin and naringenin was the most efficacious in rescuing organ function and structure.
Copyright © 2022 Shimaa S. Khaled et al.
Conflict of interest statement
The authors declare that they have no conflicts of interest.
Figures
References
LinkOut - more resources
Full Text Sources
Research Materials
Miscellaneous
