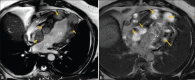
Cardiac Metastasis of Malignant Melanoma
- PMID: 36213430
- PMCID: PMC9542970
- DOI: 10.4103/heartviews.heartviews_51_22
Cardiac Metastasis of Malignant Melanoma
Figures



References
-
- Bell DJ, Wilson MW. Choroidal melanoma: Natural history and management options. Cancer Control. 2004;11:296–303. - PubMed
-
- Glancy DL, Roberts WC. The heart in malignant melanoma. A study of 70 autopsy cases. Am J Cardiol. 1968;21:555–71. - PubMed
-
- Qu G, Kaur JS, Seward JB. Metastatic melanoma presenting as cardiac mass and hemobilia. Am J Med Sci. 2003;325:157–9. - PubMed
-
- Tocchetti CG, Lombari MC, Librera M, Ascierto PA, Maurea N. Complete atrioventricular block in a patient with intracardiac metastases from malignant melanoma. Eur J Echocardiogr. 2011;12:636. - PubMed
LinkOut - more resources
Full Text Sources