Giant left myxoma with mitral valve obstruction
- PMID: 36225615
- PMCID: PMC9529750
- DOI: 10.1002/ccr3.6406
Giant left myxoma with mitral valve obstruction
Abstract
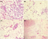
We present a case of a patient admitted with acute pulmonary edema. An echocardiogram showed a giant myxoma of the left atrium causing mitral valve obstruction. The patient underwent urgent cardiac surgery for tumor resection. There were no postoperative complications, and the follow-up was uneventful.
Keywords: mitral valve obstruction; myxoma; tumor.
© 2022 The Authors. Clinical Case Reports published by John Wiley & Sons Ltd.
Conflict of interest statement
None.
Figures



References
-
- de Assis RV, Isabella BO, de Paula ML, Barreto AT. Left atrial myxoma involving multisystemic manifestations in an eldery female patient. Arq Bras Cardiol: Imagem Cardiovasc. 2020;33(4):eabc86.
Publication types
LinkOut - more resources
Full Text Sources