[Mediastinal Teratoma: A Pictorial Essay]
- PMID: 36238516
- PMCID: PMC9514525
- DOI: 10.3348/jksr.2021.0186
[Mediastinal Teratoma: A Pictorial Essay]
Abstract
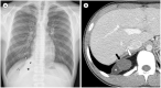
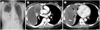
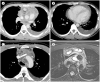
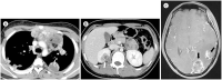
The mediastinum is the most prevalent site of extragonadal teratomas. Patients with mediastinal mature teratomas are usually young adults, and the condition does not show significant sexual differences. Mediastinal teratomas are mostly located in the anterior mediastinum. Patients are usually asymptomatic, although they can have several complications when the teratomas become large or rupture. Most mediastinal teratomas can be diagnosed using CT. Diagnosing ruptured or malignant teratomas is challenging because of their atypical clinical and radiological presentations. In this article, we describe various manifestations of mediastinal teratomas, with an emphasis on radiologic features.
종격동은 생식선 이외에서 발생하는 기형종의 가장 호발하는 부위로 알려져 있다. 종격동 성숙 기형종은 주로 젊은 성인에서 나타나고 남녀 간 발생 빈도의 큰 차이 없이 나타난다. 종격동 기형종은 대부분 전종격동에서 관찰되고, 일반적으로 증상을 보이지 않지만 종괴의 크기가 크거나 파열이 발생할 경우 여러 합병증이 나타날 수 있다. 종격동 기형종은 대부분 조직 검사 없이 전산화단층촬영(CT)만으로 진단될 수 있다. 하지만 파열된 기형종 혹은 악성 기형종의 경우 임상적 그리고 영상의학적으로 비전형적인 양상을 보여 진단이 어려울 수 있다. 본 종설에서는 종격동 기형종의 다양한 발현 양상을 영상 검사 소견을 중심으로 살펴보고자 한다.
Copyrights © 2022 The Korean Society of Radiology.
Conflict of interest statement
Conflicts of Interest: Yun-Hyeon Kim has been a Editorial Board Member of the Journal of the Korean Society of Radiology since 2002; however, he was not involved in the peer reviewer selection, evaluation, or decision process of this article. Otherwise, no other potential conflicts of interest relevant to this article were reported.
Figures








References
-
- Jeung MY, Gasser B, Gangi A, Bogorin A, Charneau D, Wihlm JM, et al. Imaging of cystic masses of the mediastinum. Radiographics. 2002;22:S79–S93. - PubMed
-
- Lewis BD, Hurt RD, Payne WS, Farrow GM, Knapp RH, Muhm JR. Benign teratomas of the mediastinum. J Thorac Cardiovasc Surg. 1983;86:727–731. - PubMed
-
- Shinagare AB, Jagannathan JP, Ramaiya NH, Hall MN, Van den Abbeele AD. Adult extragonadal germ cell tumors. AJR Am J Roentgenol. 2010;195:W274–W280. - PubMed
Publication types
LinkOut - more resources
Full Text Sources