SARS-CoV-2 placentitis, stillbirth, and maternal COVID-19 vaccination: clinical-pathologic correlations
- PMID: 36243041
- PMCID: PMC9554221
- DOI: 10.1016/j.ajog.2022.10.001
SARS-CoV-2 placentitis, stillbirth, and maternal COVID-19 vaccination: clinical-pathologic correlations
Abstract
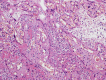
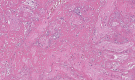
Stillbirth is a recognized complication of COVID-19 in pregnant women that has recently been demonstrated to be caused by SARS-CoV-2 infection of the placenta. Multiple global studies have found that the placental pathology present in cases of stillbirth consists of a combination of concurrent destructive findings that include increased fibrin deposition that typically reaches the level of massive perivillous fibrin deposition, chronic histiocytic intervillositis, and trophoblast necrosis. These 3 pathologic lesions, collectively termed SARS-CoV-2 placentitis, can cause severe and diffuse placental parenchymal destruction that can affect >75% of the placenta, effectively rendering it incapable of performing its function of oxygenating the fetus and leading to stillbirth and neonatal death via malperfusion and placental insufficiency. Placental infection and destruction can occur in the absence of demonstrable fetal infection. Development of SARS-CoV-2 placentitis is a complex process that may have both an infectious and immunologic basis. An important observation is that in all reported cases of SARS-CoV-2 placentitis causing stillbirth and neonatal death, the mothers were unvaccinated. SARS-CoV-2 placentitis is likely the result of an episode of SARS-CoV-2 viremia at some time during the pregnancy. This article discusses clinical and pathologic aspects of the relationship between maternal COVID-19 vaccination, SARS-CoV-2 placentitis, and perinatal death.
Keywords: COVID-19 in pregnancy; COVID-19 vaccine; SARS-CoV-2 placentitis; massive perivillous fibrin deposition; maternal vaccination; maternal viremia; maternal-fetal tolerance; perinatal death; placental insufficiency; placental malperfusion; placental pathology; stillbirth; stillbirth prevention.
Copyright © 2022 The Author(s). Published by Elsevier Inc. All rights reserved.
Figures
References
-
- King A. Doctors investigate several stillbirths among moms with COVID-19. 2021. https://www.the-scientist.com/news-opinion/doctors-investigate-several-s... Available at: Accessed May 20, 2022.
-
- Fitzgerald B., O’Donoghue K., McEntagart N., et al. Fetal deaths in Ireland due to SARS-CoV-2 placentitis caused by SARS-CoV-2 alpha. Arch Pathol Lab Med. 2022;146:529–537. - PubMed
MeSH terms
Substances
LinkOut - more resources
Full Text Sources
Medical
Miscellaneous
