A Case of Pulmonary Nodular Schistosomiasis
- PMID: 36258914
- PMCID: PMC9571235
A Case of Pulmonary Nodular Schistosomiasis
Abstract
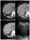
Bilharzia is a parasitic infection particularly affecting the digestive tract and urinary tract. Lung involvement is rarely reported. We report a case of pulmonary bilharzioma of nodular type surrounded by ground glass opacities diagnosed on CT-scan and associated with a hepatic nodule, in a 41-year-old woman. The disappearance of the pulmonary nodule under antischistosomal treatment made it possible to make the diagnosis a posteriori without going through an invasive process.
Keywords: Antibilharzien; CT scan; Ground glass opacities; Nodule; Pulmonary bilharzioma.
Copyright© 2022 National Research Institute of Tuberculosis and Lung Disease.
Figures



References
-
- Freedman DO, Kozarsky PE, Weld LH, Cetron MS. GeoSentinel: the global emerging infections sentinel network of the International Society of Travel Medicine. J Travel Med 1999;6(2):94–8. - PubMed
-
- Şen N. Şistosomiyazis ve pulmoner hipertansiyon [Schistosomiasis and pulmonary hypertension]. Tuberk Toraks 2017;65(3):237–44. - PubMed
Publication types
LinkOut - more resources
Full Text Sources