Skip to main page content
U.S. flag

An official website of the United States government

Dot gov

The .gov means it’s official.
Federal government websites often end in .gov or .mil. Before sharing sensitive information, make sure you’re on a federal government site.

Https

The site is secure.
The https:// ensures that you are connecting to the official website and that any information you provide is encrypted and transmitted securely.

Access keys NCBI Homepage MyNCBI Homepage Main Content Main Navigation
. 2021 Apr;20(4):363-367.

Pulmonary Alveolar Proteinosis in Children: Diagnosis and Treatment Outcomes

Affiliations

Pulmonary Alveolar Proteinosis in Children: Diagnosis and Treatment Outcomes

Maryam Hassanzad et al. Tanaffos. 2021 Apr.

Abstract

Background: Pulmonary Alveolar Proteinosis (PAP) is an uncommon pulmonary disease characterized by the accumulation of surfactant composed of proteins and lipids due to disruption of surfactant clearance by alveolar macrophages. The current standard treatment is lung lavage. There are no specific criteria for lavage, but in case of observing these signs it is recommended to perform lavage for the patient: progressive respiratory failure, no labored breathing at rest, and drop in oxygen level during activity (>5%).

Materials and methods: In this study, patients with PAP admitted to Pediatric ward of Masih Daneshvari Hospital were studied. The required data were collected including the patient's demographic data, clinical signs and radiographic data, the number of admissions, the age of diagnosis, detection and treatment methods, number of lavage, current condition of the patient, and in case of death, the cause of death.

Results: In this study, 17 patients with PAP who were admitted during the past 15 years were examined; among which 7 patients were boys (41.2%) and 10 were girls (58.8%). The mean age of population was 11.79±7.21 years. Transbronchial Lung Biopsy (TBLB) (47.1%) and open lung biopsy (52.9%) were used for diagnosis of patients. Lung lavage was used to treat patients, 15 of whom were treated by this method. Five of the patients died because of their serious conditions.

Conclusion: Therapy method in the present study was lavage for both lungs, and it was performed for all patients except for two patients due to their anatomical complications. This method is still considered as the gold standard for PAP. Considering the findings from previous studies and the present study, it seems that Whole Lung Lavage (WLL) was fruitful for patients who had the indication for using this therapy and it played a significant role in improving the prognosis of patients. Besides, it is recommended to do follow-up regularly in order to have more therapeutic efficacy and increased patient longevity.

Keywords: Diagnosis; Outcome; Pulmonary alveolar Proteinosis.

PubMed Disclaimer

Figures

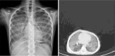
Figure 1.
Figure 1.
Chest x.ray and CT-Scan of patients with PAP.
Figure 2.
Figure 2.
Clinical findings of understudy patients
Figure 3.
Figure 3.
Radiologic findings of Patients with PAP.

References

    1. Borie R, Danel C, Debray MP, Taille C, Dombret MC, Aubier M, et al. Pulmonary alveolar proteinosis. Eur Respir Rev 2011;20(120):98–107. - PMC - PubMed
    1. Campo I, Kadija Z, Mariani F, Paracchini E, Rodi G, Mojoli F, et al. Pulmonary alveolar proteinosis: diagnostic and therapeutic challenges. Multidiscip Respir Med 2012;7(1):4. - PMC - PubMed
    1. Seymour JF, Presneill JJ. Pulmonary alveolar proteinosis: progress in the first 44 years. Am J Respir Crit Care Med 2002;166(2):215–35. - PubMed
    1. Enaud L, Hadchouel A, Coulomb A, Berteloot L, Lacaille F, Boccon-Gibod L, et al. Pulmonary alveolar proteinosis in children on La Réunion Island: a new inherited disorder? Orphanet J Rare Dis 2014;9:85. - PMC - PubMed
    1. Roy S, Sharma S, Sharma M, Bose M. Differential signaling of inducible nitric oxide synthase induction in Mycobacterium tuberculosis infected alveolar epithelial cell line A549 in response to cytokines IFN-γ, TNF-α and IL-1β. Int J Mycobacteriol 2014;3(1):17–24. - PubMed

LinkOut - more resources